Feed cnncom-rss-channel-app-international-edition CNN.com - RSS Channel - App International Edition

Favorite IconCNN.com - RSS Channel - App International Edition

Link https://www.cnn.com/app-international-edition/index.html
Feed http://rss.cnn.com/rss/edition.rss
Copyright Copyright (c) 2024 Turner Broadcasting System, Inc. All Rights Reserved.
Updated 2026-04-13 14:02
Republican wins Mississippi US Senate runoff, CNN projects
Republican Sen. Cindy Hyde-Smith will win Mississippi's US Senate runoff election, CNN projects, in a contest that centered on her actions and comments evoking the state's dark history of racism and slavery.
Anti-Semitism is alive and well in Europe
Hang glider hangs for life after instructor forgets clips
Other people's vacation videos can be painfully dull. Chris Gursky's is painfully terrifying -- best watched while peeking through your fingers.
Lion Air: Pilots fought auto safety system before plane plunged
The pilots of Lion Air Flight 610 were engaged in a futile tug-of-war with the plane's automatic systems in the minutes before it plunged into the ocean but investigators are at a loss to explain why they didn't follow the same procedure that a different flight crew did the previous day when they encountered a similar issue.
What it would cost to make iPhones in the US
President Donald Trump is considering new tariffs on China that could make iPhones way more expensive for Americans.
New Zealand deals blow to Huawei
New Zealand blocked its top telecom firm from using Huawei equipment for its 5G mobile network, dealing another blow to the Chinese tech company's ambitions to become a leader in the next generation wireless technology.
Jack Ma is a Communist
China's most famous entrepreneur and billionaire has been outed as a card-carrying communist.
Clintons launch paid speaking tour with plenty of ire for Trump
Bill and Hillary Clinton on Tuesday kicked off their paid speaking tour here in Toronto, re-emerging in the national spotlight as their political legacy undergoes a public re-examination two years after the former secretary of state lost the 2016 election.
She can't tell her students she's Jewish
Chinese ambassador threatens retaliation over possible US Uyghur sanctions
China's ambassador to the US, Cui Tiankai, has threatened retaliation against the United States if the Trump administration goes ahead with with possible sanctions against Beijing over human rights abuses in Xinjiang.
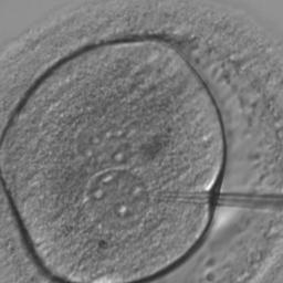
US professor investigated for role in alleged genetic editing of babies
Rice University physics professor Michael Deem is being investigated for his possible role in the genetic editing of twin Chinese embryos that may have led to the world's first designer babies.
White House puts onus for trade 'breakthrough' on China
White House economic adviser Larry Kudlow on Tuesday dangled the possibility of a "breakthrough" between President Donald Trump and his Chinese counterpart on trade at their upcoming Argentina meeting -- but again said China has to blink first.
Ukraine President warns of threat of 'full-scale war' with Russia
Three lights blinking red in the US economy
Economic expansions never go on forever. As the United States' long, slow recovery from the Great Recession stretches past the decade mark, regulators and economists are starting to get a little jumpy.
Netanyahu: 'Ancient disease' of anti-Semitism must be fought
Israeli Prime Minister Benjamin Netanyahu has joined lawmakers and leading figures involved in the fight against anti-Semitism by saying he is "concerned" about the results of CNN's investigation into European attitudes toward Jews.
Trump threatens to cut all GM subsidies
President Donald Trump threatened on Tuesday to cut all General Motors subsidies after the automaker announced thousands of jobs cuts.
Watch hang glider hold on for dear life after instructor forgets clips
After realizing he was not strapped in while hang gliding in Switzerland, American Chris Gursky held on for nearly four minutes while the pilot navigated to a safe landing.
The future of the internet is Indian
What's next for NASA's Mars InSight lander?
On Monday, the NASA Mars InSight lander survived the "seven minutes of terror" during entry, descent and landing to safely arrive on Mars and took up permanent residence on the Red Planet. Unlike the rovers already on the Martian surface, InSight will stay put during its planned two-year mission.
Everything you forgot about the conflict in Ukraine
CNN's Senior International Correspondent Nick Paton Walsh explains what you need to know about the conflict between Russia and Ukraine.
World woefully short of target to avoid climate disaster
If there is one consistent message about climate change that has been made abundantly clear in a flurry of recent major assessments on the topic, it is that our planet's climate is already changing, and now is the time to act to avoid devastating impacts.
Facebook questioned in London by lawmakers from 9 countries
Facebook faces a potential showdown in London with lawmakers from nine countries as part of an international hearing on disinformation.
Mississippi's US Senate race comes to a close amid racial controversies
Republican Sen. Cindy Hyde-Smith was expected to coast to victory in a Mississippi runoff that would conclude the last Senate race of 2018's midterm elections.
Trump's Brexit comments aren't necessarily wrong, but they are unhelpful
US President Donald Trump has kicked up quite a stink here in the UK, after suggesting that Prime Minister Theresa May's Brexit deal might put the brakes on a UK-US trade deal in the brave new world of post-Brexit Britain. He went on to suggest that it was a "great deal for the EU", thus implying it is not such a great deal for the UK.
NASA's InSight probe successfully lands on Mars
China reveals new aircraft carrier under construction
Trump throws spanner into May's Brexit deal
US President Donald Trump has added himself to the chorus of skeptics doubting British Prime Minister Theresa May's Brexit plan, saying it isn't clear if the agreement will allow a US-UK trading partnership.
Pardoned Brit returns to UK from UAE jail
British academic Matthew Hedges has thanked his wife for her "brave and strong" support following his arrival back in London, Tuesday, a day after he was released from custody in the United Arab Emirates.
Manafort lied after pleading guilty, Mueller's team says
Paul Manafort has "breached" his plea agreement with the Justice Department by lying to the FBI and special counsel Robert Mueller's office two months after he started to cooperate in the Russia probe, prosecutors alleged Monday.
Scientist claims world's first gene-edited babies
A Chinese hospital has denied involvement in the alleged delivery of the world's first genetically-edited babies and experts worldwide have voiced outrage at such use of the technology.
Kim Kardashian West: I was high on ecstasy when I made my sex tape
Kim Kardashian West may have been the designated driver for her sisters as a teen, but that doesn't mean she didn't party.
From hope to hurt, this is America's state of hate
Police have a new explanation for black man's mistaken killing
As the family of Emantic Bradford Jr. continues to demand answers from Hoover police, the department Monday issued another correction of an earlier report -- this time, that Bradford had "brandished" a gun when a policeman killed him at an Alabama mall.
Trump threatens iPhone tariff, could block China deal
World's cheapest draft? Where to try Hanoi's 25c beer
As soon as the sun sets in Hanoi, Vietnam, there's only one place to be: the corner of Ta Hien and Luong Ngoc Quyen streets.
Japanese artisans capturing ephemeral beauty of flowers
On a Friday morning in Tokyo, a pageant of flowers is hustled from a black van into the chilly underbelly of Jardins des Fleurs, a flower shop in the city's chic Aoyama neighborhood.
Turkish police search villa as part of Khashoggi investigation
Police are searching a villa in northwest Turkey in connection with the murder of Saudi journalist Jamal Khashoggi.
Video from ISS shows Russian rocket soaring into space
The International Space Station captured video showing a Russian MS-10 cargo spacecraft soaring into space.
US 'slams the brakes' on UN Yemen ceasefire
The US has "slammed the brakes on" a United Nations Security Council resolution calling for a limited ceasefire and increased humanitarian aid in Yemen over concerns about angering Saudi Arabia, two sources tell CNN.
Roger Stone associate says he won't agree to plea deal
An associate of Roger Stone said Monday he is refusing to sign a plea deal offered by special counsel Robert Mueller.
Trump refuses to condemn Russian action
As world leaders denounced Russia's aggression against Ukraine, President Donald Trump waited more than a day before offering a muted response about the clash, leaving the task of criticizing Moscow to the outgoing US ambassador to the UN.
Republican slams Trump in concession speech: 'No real relationships, just convenient transactions'
Republican Rep. Mia Love sharply criticized President Donald Trump during a concession speech on Monday, saying Trump's vision of the world is "no real relationships, just convenient transactions."
Trump denies tear gas was used on child migrants despite pictures, video
GM will no longer make these 6 cars
General Motors will end production of six sedans by the end of 2019.
Americans and Germans completely disagree on their countries' relations
Americans and Germans are sharply divided over their countries' decades-long relationship, according to a new Pew Research Center and Körber-Stiftung public opinion survey.
Ukraine approves martial law as Russia tensions escalate
Ukrainian lawmakers were set to vote Monday on whether to implement martial law after Russia seized three Ukrainian navy ships in a key waterway that holds strategic importance for both countries.
$533,000 a ride: Bills for air ambulances hurt the people they're helping
Sonna Anderson was enjoying a horseback ride through the Badlands in North Dakota in September 2017 when her horse, Cody, got spooked, jerked toward a fence and tripped on a cow track in the dirt. The horse rolled onto Anderson, who hit her head, briefly lost consciousness and broke three ribs.
Donald Trump buried a climate change report he doesn't believe
President Donald Trump's views on climate change are very, very well established.
GM is slashing its workforce and shutting 5 plants
General Motors on Monday announced a major restructuring of its global business, saying it will shut production at five facilities in North America and slash its staff. GM will reduce its salaried workforce by 15%, including a quarter of the company's executives.
Elon Musk: Tesla was weeks from death
Tesla CEO Elon Musk said his electric car company came "within single-digit weeks" of death this year as it struggled to meet production targets for its Model 3 sedan.
...754755756757758759760761762763...