Feed nrcnl Nieuws, achtergronden en onderzoeksjournalistiek - NRC

Favorite IconNieuws, achtergronden en onderzoeksjournalistiek - NRC

Link https://www.nrc.nl/
Feed http://www.nrc.nl/rss.php
Copyright Mediahuis NRC BV, Amsterdam. Deze RSS-feed is uitsluitend bedoeld voor persoonlijk, niet-commercieel gebruik. Op ieder gebruik van RSS-feeds van NRC zijn de Leveringsvoorwaarden van toepassing: https:
Updated 2025-11-21 07:16
Scheffers dramaturgie zette de toon voor generaties columnisten en politici
Twintig jaar later. Op de middelbare school kreeg ik die titel onder ogen van Alexandre Dumas’ reprise van De drie musketiers, een vervolg dat verscheen in 1845 als voorloper van…
Uit het zicht verdwenen: de civiele rechter
Eerst een bekentenis – soms denk ik dat de rechtspraak niet tot veranderen in staat is. Ieder jaar daalt het aantal ingediende zaken, maar sneller, goedkoper, voorspelbaarder of…
‘Vanaf nu zal de Engelse leeuw weer brullen’
Op het Parliament Square heerste vrijdag een jubelstemming. De feestvierders hebben niks tegen Europeanen, wel tegen de EU. „Boris heeft het geregeld en Farage is een absolute held.”
Oorlog
‘Het is mijn valkuil om zelf overal in te duiken’
topman KPNJoost Farwerck bluste al talloze brandjes bij KPN. De nieuwe topman over Huawei en WeChat, XS4ALL, 5G en glasvezel.
Europese elite heeft geen besef van eigen falen
‘Hebben ze geen brood? Laat ze dan taart eten!” Zo reageerde Marie Antoinette toen ze hoorde dat het Franse volk honger leed.
Twintig jaar later weten we nog niet wat we verwachten van ‘de Nederlander’
‘Een samenleving die zichzelf verloochent heeft nieuwkomers niets te bieden”, schreef Paul Scheffer op 29 januari 2000 in deze krant.
Prik door het frame dat ‘voltooid leven’ heet
Wat u er ook van vindt, de marketing is geniaal. Alleen al de titel van het wetsvoorstel, ‘Voltooid Leven’, is een geweldig frame.
Onbekende scherpschutter
Om sommige dieren kun je niet heen. De redactie wetenschap licht er iedere week eentje uit.
Vaccin
Mijn ziekte, uw schuld
Sinds mijn moeder steevast maagpijn kreeg als ik haar tegensprak, heb ik een zeker wantrouwen jegens psychosomatische klachten.
AZ wint van RKC en staat naast koploper Ajax
De Alkmaarders waren in eigen stadion met 4-0 te sterk voor RKC Waalwijk.
Nog eens vijftig Turken krijgen asiel wegens arrestatie IND-medewerker
Een vertrouwenspersoon van de IND is opgepakt in Turkije, waardoor mogelijk gevoelige informatie over asielzoekers bij de Turkse autoriteiten is beland. Zestig van hen hebben asiel gekregen in Nederland.
Inreisbeperkingen VS voor burgers uit nog zes landen
Immigranten uit Myanmar, Eritrea, Nigeria, Kirgizië, Soedan en Tanzania kunnen geen visa meer aanvragen voor permanent verblijf in de Verenigde Staten.
IBM moet zonder Rometty naar de cloud
Zeven jaar leidde Ginni Rometty IBM. Ze zette in op clouddiensten, maar die renderen nog te weinig. En de concurrentie is groot.
Dry January? Nee, de Belgen drinken liever in de kortste maand alcoholvrij
Na ‘onze’ Dry January maken Belgen zich op voor hun eigen alcoholvrije maand. De organisatie koos bewust voor februari. „De gimmick is: we kiezen de kortste maand, dan halen we het wel.”
Takeaway en Just Eat mogen fusie nog niet definitief doorvoeren
Zo lang de Britse markttoezichthouder CMA de fusie van Takeaway en Just Eat onderzoekt, moeten de bedrijven hun eigen merknamen, logo’s en websites blijven gebruiken.
En wat als de Brexit een succes wordt?
Het Franse blad Le Point had vorig najaar een omineus artikel met als kop ‘Als de Britten vertrekken, komt er altijd chaos’.
Klimaat was bij bouw nieuwe kolencentrales nog even minder belangrijk
Geen Europees land dat zo laat nog zoveel kolencentrales bouwde als Nederland. Hoe konden stroomproducenten en opeenvolgende kabinetten zich zo vergissen?
Airbus schikt voor 3,6 miljard in grote corruptiezaak
Justitie in Frankrijk, het VK en de VS beschuldigden Airbus ervan via tussenpersonen steekpenningen betaald te hebben om internationaal contracten binnen te halen.
‘Dodelijk slachtoffer schietpartij Amsterdam viel tijdens opname videoclip’
Bij een schietpartij in een flat in Amsterdam-Zuidoost kwam in de nacht van maandag op dinsdag een 26-jarige man om. De hoofdverdachte zegt dat het slachtoffer per ongeluk is geraakt.
Hoe zelfingenomen is jouw baas dan?
We hebben een voorkeur voor narcistische leidinggevenden, zag arbeidspsycholoog Barbara Nevicka. Maar zijn ze wel effectief?
Kabinet: incest-slachtoffers moeten makkelijker achternaam kunnen wijzigen
Het kabinet versimpelt de voorwaarden voor een kosteloze naamswijziging voor slachtoffers van incest.
Burgemeester Weert treedt tijdelijk terug in integriteitskwestie
Jos Heijmans (D66) kende op eigen houtje 24.500 euro toe aan een stichting waarvan hij zelf voorzitter is. Nu treedt hij vrijwillig terug om het onderzoek daarnaar niet te belasten.
Dertienjarige verdacht van steekpartij in Ridderkerk
Het slachtoffer, een zestienjarige jongen, heeft volgens de politie zwaar letsel en vecht voor zijn leven.
Over data-analyse moet het parlement besluiten, niet de rechter
Binnenkort doet de rechter uitspraak over het systeem SyRI, dat persoonsgegevens koppelt om fraude te bestrijden. Maar volgens Peter Olsthoorn moet de politiek nadenken over de vraag hoe we data-analyse kunnen inzetten zonder aantasting van de rechtsorde.
Hoe alles een kwestie van perspectief werd
Samenleving Wie zegt naar feitelijkheid te streven, wordt weggezet als hysterisch, irrationeel en verdwaasd. Dat is de omgekeerde wereld, betoogt Bas Heijne.
Vroeger of later nemen de machines ons werk over
Al weten we niet exact wanneer, maar machines gaan steeds meer werk van ons overnemen, stelt econoom Daniel Susskind. Ons idee van wat werken is, moet daartoe veranderen.
Vakantiehuis kopen in Spanje? Pas op voor de ‘emotie-koop’
Elke dag kopen acht Nederlanders een huis in Spanje. Maar soms valt hun droomwoning tegen. Waar moet je op letten tijdens de huizenjacht?
‘Soms ben ik gewoon jaloers op jouw werk’
Mignon Nusteling (29) en Rob Vis (44) zijn allebei kunstenaar. Zij is commerciëler ingesteld en kan rondkomen van haar werk. Hij werkt ook in een museum. „We hebben geen andere hobby’s dan hobby’s die ons werk zijn.”
De erfenis van Clayton Christensen
Vorige week overleed Clayton Christensen, een van de invloedrijkste managementdenkers van onze tijd. Hij had kanker en werd 67.
‘Bedreigde Afghaanse tolken naar Nederland gehaald’
Vorig jaar bleek dat van de ruim honderd tolken die van 2006 tot 2010 hebben geholpen bij de Nederlandse missie in Uruzgan, vier zijn vermoord.
Houd het simpel met truffels
Truffelliefde is een lustopwekkende documentaire, waar je onbedaarlijke truffeltrek van krijgt.
Lamar Hunt, de man die de Super Bowl bij de mensen thuis bracht
De National Football League bestaat honderd jaar. De competitie werd in de jaren zestig opgeschud door de komst van de American Football League van Lamar Hunt, die ook de Super Bowl bedacht. Zondagnacht wordt hij weer gespeeld.
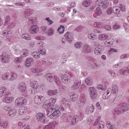
De software die slimmer is dan de dokter
Zelflerende algoritmes om kanker op te sporen zijn inmiddels even goed als de dokter - of zelfs beter. Willen we dat een computer de diagnoses stelt?
‘Meneer is een boef. Hij moet terugbetalen wat hij heeft gestolen’
Oud-corporatiedirecteur van Vitaal Wonen in Limburg Noël P. stond deze week voor de rechter. Hij zou voor honderdduizenden euro’s hebben gestolen.
Advocaat Dino S.: geen sprake van uitbraakpoging
Donderdag werd crimineel Dino S. na een uitbraakpoging overgeplaatst naar de extra beveiligde inrichting in Vught. Volgens zijn advocaat probeerde hij niet uit te breken.
Voortbestaan AT5 toch weer onzeker
De gemeente Amsterdam heeft volgens het Commissariaat voor de Media onvoldoende gemotiveerd waarom nieuwkomer C-Amsterdam het stokje van AT5 niet zou kunnen overnemen.
Koortsachtig meten om corona
Wekelijks stuit Karel Knip in de alledaagse werkelijkheid op raadsels en onbegrijpelijke verschijnselen.Deze week: Kun je met warmtegevoelige camera’s koortslijders opsporen?
Pinguïns bij de kust van Hindeloopen
Van een afstandje lijken het gewoon stemmige zwartwitfoto’s van bedreigde diersoorten: de Afrikaanse olifant, de zwarte neushoorn, de luipaard.
ING voert negatieve rente in voor vermogende klanten
ING is na ABN Amro de tweede grote bank die een negatieve rente voor vermogende klanten invoert.
Hersenletsel 64 Amerikaanse militairen door Iraanse aanval
Bij een Iraanse vergeldingsactie voor de moord op generaal Soleimani eerder deze maand hebben, blijkt nu, 64 Amerikaanse militairen hersenschade opgelopen.
Minister Schouten: verplichte norm voor slachtsnelheid varkens
Op geheime opnames uit een moderne varkensslachterij in IJsselstein zijn schokkende beelden te zien. Varkens worden met geweld uit vrachtwagens geduwd en veelvuldig geslagen.
De economie van de eeuwige jeugd
Oud worden is een kwestie van weinig eten, legde acupuncturist René Goris in ‘De Stand van Nederland’ uit terwijl hij wat dennennaalden in zijn mond stopte.
‘Afzettingsprocedure Trump mogelijk vrijdag ten einde’
De Republikeinse senator Lamar Alexander twijfelde lange tijd over zijn stem om nieuwe getuigen in de afzettingsprocedure tegen president Trump te horen, maar zei vrijdag toch tegen te stemmen.
Het Verenigd Koninkrijk in beeld, op weg naar de uitgang
Met het oog op het aankomende vertrek uit de Europese Unie maakte Merlin Daleman foto's dwars door het hele Verenigd Koninkrijk. Die tocht resulteerde in een enorme rijkdom aan foto's - van Swindon tot Belfast.
‘Trainingsmissie Kunduz werd te positief afgeschilderd voor de Tweede Kamer’
De politietrainingsmissie in Kunduz werd bemoeilijkt door politieke druk uit Den Haag. Vervolgens was de verslaglegging te rooskleurig, blijkt uit een evaluatie.
Steun voor wetsvoorstel is onzeker na kritisch rapport
Het onderzoek naar ‘voltooid leven’ leest vooral als steun voor argumenten van ChristenUnie – niet voor die van D66. Een voltooidlevenwet lijkt er deze regeerperiode niet te komen.
Griekenland plant drijvend hek in de Egeïsche zee tegen migratie
Een drijvend hek in de zee tussen Turkije en Lesbos kan migranten weren op hun clandestiene overtocht, hoopt de Griekse regering.
Euthanasie bij psychisch lijden verdeelt België
Drie Belgische artsen werkten mee aan de euthanasie van een 38-jarige vrouw. Deze week staan ze voor een volksjury terecht voor doodslag.
...1546154715481549155015511552155315541555...