Feed nrcnl Nieuws, achtergronden en onderzoeksjournalistiek - NRC

Favorite IconNieuws, achtergronden en onderzoeksjournalistiek - NRC

Link https://www.nrc.nl/
Feed http://www.nrc.nl/rss.php
Copyright Mediahuis NRC BV, Amsterdam. Deze RSS-feed is uitsluitend bedoeld voor persoonlijk, niet-commercieel gebruik. Op ieder gebruik van RSS-feeds van NRC zijn de Leveringsvoorwaarden van toepassing: https:
Updated 2025-11-24 05:45
Trump draagt Brett Kavanaugh (53) voor als opperrechter
Kavanaugh moet de opperrechter Anthony Kennedy opvolgen, die eind juni zijn pensioen aankondigde. Hij is een voormalige medewerker van president George W. Bush.
Brocante
Brexiteer met meer EU-expertise dan voorganger Davis
Opvolger van David Davis is een overtuigd voorstander van uittreding uit de EU. Ook is hij kritisch over het Europees Hof voor de Rechten van de Mens.
Onze nationale ziekte is nu massale gekrenktheid
Als anderen gekrenkt zijn, kijken we erop neer (‘slachtofferschap’). Als we zelf gekrenkt zijn, komt dat door onmetelijk onrecht.
Eigenaar Sun Capital zoekt naar koper Scotch & Soda
Het Amerikaanse Sun kocht het Amsterdamse bedrijf in 2011. Sun mikt op een verkoop in de eerste helft van volgend jaar.
Britse premier Theresa May raakt verstrikt in ‘softe Brexit’
May heeft haar kaarten én haar politieke toekomst gezet op een softere Brexit dan veel Conservatieven lief is. De vraag is of ze die overleeft.
Kanker veroorzaakt een derde van de sterfgevallen in Nederland
Bij zowel mannen als vrouwen is kanker doodsoorzaak nummer één in ons land. Wel zijn er duidelijke verschillen bij leeftijdsgroepen.
Artsen MC Slotervaart hebben vertrouwen verloren in bestuur
Medici spreken van een ‘crisissituatie’ bij het MC Slotervaart. Zo wijzen ze op achterstallig onderhoud en defecte apparatuur.
Artsen Slotervaart vrezen faillissement
Zakenmannen moesten in 2014 redding brengen bij het MC Slotervaart. Maar opgeknapt is de patiënt niet: het ziekenhuis sloot vier dagen de deuren voor spoedpatiënten. Artsen vrezen faillissement.
Het lot van premier May hangt weer aan een dun draadje
Zondag leek alles kalm, nadat het kabinet zich achter de nieuwe Brexitkoers van premier May had geschaard. Een dag later leidde het vertrek van minister Boris Johnson tot chaotische taferelen.
Invalsknecht Ten Dam rijdt zich het snot voor de ogen
Halsoverkop deed Sunweb een beroep op Laurens ten Dam. Hij moet Tom Dumoulin gaan helpen deze Tour.
Jeremy Hunt nieuwe Britse minister Buitenlandse Zaken
De 51-jarige Hunt was sinds 2012 minister voor Volksgezondheid.
Vliegtuig ontruimd op Eindhoven Airport
De marechaussee doet met een speurhond onderzoek naar mogelijke explosieven na een dreigbrief.
Waarom het Kiki Bertens plots lukt op gras
Kiki Bertens staat dinsdag in de kwartfinale van Wimbledon. Hoe kan het dat ze nu zo sterk is op haar minst favoriete ondergrond?
De Aramese genocide lag te gevoelig, kreeg ze te horen
Een film over de Aramese genocide? Het Enschedese hogeschoolblad Sax publiceerde er niet over, ter ‘bescherming’ van de maker. Smoesjes, zegt die.
‘Opschaling bij stroomstoring Schiphol kwam te laat’
Eind april strandden duizenden passagiers op Schiphol bij een grote stroomstoring. Volgens een evaluatie werd te laat opgeschaald en werd niet goed gecommuniceerd door betrokken partijen.
Macron probeert oude glans te herwinnen in 'State of the Union'
De kritiek op president Macron groeit. Hij zou een ,,president van de rijken" zijn. In een soort 'State of the Union' in Versailles kwam hij met nieuwe sociale voorstellen, al bleven die vaag.
Hoe het bleke België durfde in te grijpen
Van ouderwets inzakken naar de halve finale van het WK in Rusland. Vier betrokkenen over de Belgische voetbalrevolutie.
'Zouden de jongens uit de grotten naar de finale van het WK kunnen?'
Het dorp van de Thaise jongens die vast kwamen te zitten in een grot leeft intens mee met de pogingen hen te redden. Correspondent Annemarie Kas sprak met de bewoners.
Uitgeverij haalt kinderboek over Suriname uit de handel
In het kinderboek stond dat Surinamers volop vreemdgaan, expres honden aanrijden en vrijwillig slaaf werden.
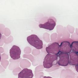
Genetische test zou afwijkingen snel kunnen opsporen
Nog voordat de ziekte zich openbaart zijn er al afwijkende cellen in het bloed van patiënten met acute myeloïde leukemie.
‘Chauffeur Trump kreeg overwerk niet uitbetaald’
Chauffeur Noel Cintron beweert dat hij nog 178.000 dollar (ruim 151.000 euro) te goed heeft van The Trump Organization.
Strafrechtelijk onderzoek naar misstanden in brandstofbranche
Producenten en handelaren gebruikten illegale afvalstoffen voor stookolie. In brandstoffen voor West-Afrika werden buitensporig veel kankerverwekkende stoffen aangetroffen.
Eén getuige, en dan nu pas, is te weinig
De moeder van de 8-jarige Sharleyne is weer vrij. Voor doodslag op haar dochter is onvoldoende bewijs, oordeelde de rechtbank. Dat de zaak complex zou worden, wist het OM al op voorhand.
Van Avermaet pakt geel na winst ploegentijdrit, Dumoulin doet goede zaken
Dumoulin eindigde met Sunweb als vijfde en pakte opnieuw tijd op concurrenten.
Advies na belevingsvlucht: stel opening Lelystad Airport verder uit
Opening van Lelystad Airport met lage vliegroutes is „niet acceptabel”, oordeelt een adviesgroep. De milieueffectrapportage bevat mogelijk weer fouten.
Vertrek Johnson doet positie May verder wankelen
De Britse buitenlandminister en Brexit-kopstuk Boris Johnson treedt af uit onvrede over premier May’s plannen voor een ‘zacht’ vertrek uit de EU. Kan ze deze crisis nog sussen?
Herstel gat in de ozonlaag vertraagd door illegale Chinese productie
Het gat in de ozonlaag steeds kleiner? Het dreigt juist weer te groeien door Chinese fabrieken voor isolatieschuim. Die maken op grote schaal illegaal gebruik van een ozon-afbrekend gas.
Israël wil enige grensovergang voor goederen naar Gaza sluiten
Het voornemen van Netanyahu is een reactie op het aanhoudende geweld aan de grens tussen Israël en de Gazastrook.
Hoe had Poetin dat gasakkoord gesloten?
Wiebes en het kabinet zijn nog steeds de gevangene van afspraken uit 1963, toen het Gronings gas ging stromen. De laatste fase van de gaswinning had hét moment kunnen zijn voor een Poetineske putsch.
Gegevens miljoenen Timehop-gebruikers gestolen
Volgens de herinneringsapp voor sociale mediaposts gaat het om namen, telefoonnummers en e-mailadressen van gebruikers.
Britse buitenlandminister Boris Johnson afgetreden
Johnsons ontslag volgt een dag nadat minister van Brexit David Davis opstapte.
NPO moet bezuinigen, maar Oranje mag wél wat kosten
De omroep heeft maanden stil gehouden dat zij voor miljoenen euro's de uitzendrechten koopt van de kwalificatiewedstrijden.
600.000 Redditgebruikers wachten in spanning op hun verbanning
De helft van een populair subforum laat zich vandaag vrijwillig verbannen als eerbetoon aan Marvels paarse superschurk Thanos.
Novitsjok-dode kwam in aanraking met gifverpakking
De politie denkt dat de dodelijke vergiftiging van Dawn Sturgess verband houdt met de vergiftiging van ex-spion Skripal. Bewijs ontbreekt nog.
Bertens voor het eerst in kwartfinale Wimbledon
De Nederlandse speelde een overtuigende partij tegen de als zevende geplaatste Karolina Pliskova. Door de overwinning is er geen enkele top 10 speelster meer actief in Londen.
Vredesovereenkomst tussen Ethiopië en Eritrea
Met het tekenen van een “gemeenschappelijke verklaring van vrede en vriendschap” lijkt een einde te komen aan twintig jaar conflict.
Onvoldoende bewijs in zaak-Sharleyne: vrijspraak voor moeder
Het is volgens de rechters onduidelijk of er sprake was van een levensdelict, een ongeluk of zelfdoding.
Mozarts Requiem klinkt onbestemd bij Markus Stenz
Markus Stenz dirigeert Mozarts Requiem met magische vonken, maar weet daarmee niet het grote vuur te ontsteken.
Besturen begint bij luisteren: leve het preferendum
Peil de bevolking vóór, niet na belangrijke wetsvoorstellen, suggereert Paul Scholten. Zo’n preferendum is beter dan een referendum.
Iraanse vrouwen dansen uit protest tegen arrestatie ongesluierde tiener Maedeh
Het Iraanse meisje danst in haar Instagram-video’s ongesluierd op zowel muziek uit het Midden-Oosten als het Westen.
Acht jongens uit Thaise grot gered
Het is dag twee van de reddingsoperatie. Zondag werden vier jongens uit de ondergelopen grot gehaald waar zij al ruim twee weken vastzaten.
De mooiste Afrikaanse muziek hoor je in een Twents dorpje
Afrikafestival Hertme weet interessante namen uit de afro-popmuziek aan te trekken. Afsluiter Alpha Blondy was uitstekend in vorm.
Australopithecuskind kon prima bomenklimmen, dankzij ‘apenvoet’
De ouders verkenden al de savanne, maar lieten hun kindren nog veilig in de boom. Dat concluderen onderzoekers uit fossielen van Australopithecus.
Ook Nissan geeft sjoemelen met uitstootgegevens toe
Emissiedata werden handmatig aangepast in inspectierapporten. Hoeveel auto’s zijn getroffen is nog niet bekend.
Roemeense anticorruptieaanklager Kovesi ontslagen
Kovesi trad hard op tegen corrupte politici en zakenlui. De regeringscoalitie probeert het werk van anticorruptieaanklagers aan banden te leggen.
FNV schrapt tientallen banen door financiële tekorten
De vakbond ziet het ledenaantal teruglopen en dat leidt tot dalende inkomsten. Er verdwijnen zo’n 80 tot 120 arbeidsplaatsen.
KLM vervoert miljoen meer passagiers dan eerste helft vorig jaar
Vorig jaar vervoerde KLM in de eerste helft 15,6 miljoen mensen, dit jaar is dat aantal opgelopen tot 16,6 miljoen.
Rechtszaak tegen Reuters-journalisten in Myanmar mag verder
De journalisten worden verdacht van het schenden van staatsgeheimen rond de gewelddadigheden tegen de Rohingya.
De geest van Mart Smeets in De avondetappe
Napraatprogramma De avondetappe zet de concurrentie op achterstand. Er wordt beeldend geanalyseerd, en is het tijdperk van de sprinttreintjes nu wel of niet voorbij?
...2056205720582059206020612062206320642065...