Feed nrcnl Nieuws, achtergronden en onderzoeksjournalistiek - NRC

Favorite IconNieuws, achtergronden en onderzoeksjournalistiek - NRC

Link https://www.nrc.nl/
Feed http://www.nrc.nl/rss.php
Copyright Mediahuis NRC BV, Amsterdam. Deze RSS-feed is uitsluitend bedoeld voor persoonlijk, niet-commercieel gebruik. Op ieder gebruik van RSS-feeds van NRC zijn de Leveringsvoorwaarden van toepassing: https:
Updated 2025-11-24 09:15
Thiem verslaat geblesseerde Zverev in drie sets
<p>De Duitser Alexander Zverev liep in de tweede set een bovenbeenblessure op. Voor Dominic Thiem is het de derde keer dat hij de halve finale bereikt van Roland Garros. </p>
Aardbeving bij klein gasveld in Noord-Holland
De NAM richt zich steeds meer op kleine gasvelden. In Noord-Holland was maandagnacht bij zo’n veld een aardbeving van 2,5 op de schaal van Richter.
Wij rechters moeten ons niet laten meevoeren, maar in de zaak tegen Michael P…
Strafrechter Jacco Janssen keek zaterdag naar de EenVandaag-uitzending over de vermoorde Anne Faber.
Iran zegt sneller uranium te willen verrijken
<p>Het zou gaan om een relatief bescheiden stap, waarmee de verrijking van uranium voor medische isotopen en reactorbrandstof versneld kan worden.</p>
Voormalig premier Mariano Rajoy treedt af als partijvoorzitter
<p>De Spaanse politicus trekt zich terug als voorzitter van de Volkspartij (PP) nadat een motie van wantrouwen hem vorige week al deed aftreden als minister-president.</p>
Peuterbrein slaat liedjes snel op
Hersenactiviteit meet je het best met een fMRI-scanner, maar hoe houd je daarin een peuter rustig? Door een truc met slapen en liedjes.
Belgen verrichten 13 arrestaties voor matchfixing tennis
Een Armeens-Belgische bende zou spelers hebben omgekocht in de lagere regionen van het proftennis.
Politie arresteert groep criminele jongeren in Doetinchem
<p>De groep werd al een jaar gevolgd omdat ze voor veel overlast zorgde in het centrum. Achttien anderen wordt met klem verzocht een begeleidingstraject te volgen. </p>
Dodental bootongeluk Tunesië loopt op tot meer dan 100
<p>De Verenigde Naties en Tunesische kustwacht blijven zoeken naar overlevenden van de ramp met een migrantenboot. </p>
‘Nieuwbouwwoningen vertonen steeds meer gebreken’
Het gemiddelde aantal gebreken per nieuwbouwwoning is vergeleken met 2013 gestegen met 40 procent.
Hof van Justitie: alle EU-lidstaten moeten rechten van homo’s erkennen
De zaak was tegen Roemenië aangespannen door een Roemeen wiens Amerikaanse echtgenoot Clai Hamilton daar niet permanent mocht wonen en werken.
Advies: leeftijdsgrens jeugdhulp moet naar 21 jaar
Jongeren uit de jeugdzorg zijn er vaak niet aan toe om op hun achttiende op eigen benen te staan, stelt de Raad voor Volksgezondheid. "Ze verdwalen gewoon."
Minister Slob wil strengere eisen burgerschapsonderwijs
<p>Nederlandse leerlingen weten &#8216;te weinig&#8217; over democratie en de rechtsstaat. Nederlandse scholieren lopen achter vergeleken met leeftijdsgenoten in het buitenland, zegt de minister.</p>
Buschauffeurs leggen werk neer in delen Nederland
<p>Werknemers van vervoerders in Zuid-Holland, Overijssel en Flevoland eisen een betere cao en lagere werkdruk. </p>
Liever stress in de boerderij van Johan dan kijken naar Yvon Jaspers
Elke minuut was de moeite waard, van de documentaire 'Het mysterie van de melkrobots'. "Je begrijpt wel weer waarom nogal wat boeren zo dringend een vrouw zoeken."
Adyen op 13 juni naar de Amsterdamse beurs
<p>Bij de aandelenverkoop wordt de Amsterdamse betalingsverwerker gewaardeerd op een bedrag rond de 7 miljard euro. </p>
Rechtsorde centraal in burgerschapsles en internationale CDA-ruzie
Slob bemoeit zich met onderwijs over homoseksualiteit. D66 verliest de coalitiestrijd om vuurwerkverbod. Hongaren woedend op Buma. En is Rik Grashoff te handhaven?
Vroeg schilderij Van Gogh brengt ruim 7 miljoen op
<p>Het doek &#8216;Nettenboetsters in de Duinen&#8217; overtrof de verwachtingen op een veiling. </p>
Van voetbalhelden tot landverraders
Het Poolse voetbalteam dat veel indruk maakte op het WK van 1938, loste op in de tumultueuze geschiedenis van Midden-Europa.
De minister hoeft zich alleen aan de wet te houden
Voorstanders van provincialisme in de wetenschap behoren tot een zeldzame soort. Internationalisering staat dan ook niet ter discussie. Waar het om gaat is Engelstalig hoger onderwijs zonder geldige reden.
Onze beste vriend als de heimelijke vijand
De nieuwe Amerikaanse diplomaat in Duitsland sprak zijn steun uit voor 'conservatieve' leiders in Europa. Het is in lijn met eerdere signalen uit de regering-Trump, maar roept wel vragen op.
‘Noord-Korea ligt aan het infuus, het kan niet zonder Chinese olie’
Wat China niet lukte met Noord-Korea, konden de VS wel. Dat komt volgens hoogleraar Xiaohe omdat Noord-Korea lijdt onder de olie-sancties. En Trump is bedreigender dan Obama.
Hoogleraar: meer grazers uit Oostvaardersplassen
Flevoland wil hooguit 1.100 grote grazers in de Oostvaardersplassen. Hoogleraar Frank Berendse vindt dat nog veel te veel.
Miljardendeal Microsoft en Github
Het bedrag dat Microsoft op tafel legt voor het platform voor softwareontwikkeling is opmerkelijk hoog.
De speelgoedwinkel heeft het zwaar
Traditionele speelgoedwinkels zagen hun omzet in het eerste kwartaal afnemen met 13 procent op jaarbasis, de sterkste daling in bijna vijf jaar. En ze hadden het al zwaar.
De verdedigers moeten het gaan doen
Vindt Oranje de weg terug omhoog, nu het een aantal topverdedigers heeft? Tegen Italië werd het maandag nog niet zo overtuigend 1-1.
‘Ik raak nog steeds ontroerd dat het ons is gelukt’
Dinsdag opent het Prinses Máxima Centrum voor kinderoncologie. In een tijd dat ziekenhuizen uit geldgebrek fuseren of sluiten, zamelde directeur Diana Monissen geld in voor het hypermoderne ziekenhuis.
‘Een robot laten praten blijft nog mensenwerk’
Chatbots zijn computerprogramma’s die namens bedrijven zelfstandig met mensen kunnen ‘praten’. Het scripten van deze chatbots is een complexe aangelegenheid.
Belgische klucht met valse mails over nieuwe vliegtuigen luchtmacht
Socialistenleider Crombez lijdt zwaar gezichtsverlies, omdat hij met valse mails een minister beschuldigde van leugens over de vervanging van jachtvliegtuigen.
Nederland ook tegen Italië gelijk (1-1)
<p>Beide doelpunten vielen in de tweede helft. Nathan Aké zorgde kort voor het eindsignaal voor de gelijkmaker.</p>
Syriër die agenten in Schiedam aanviel overleden
<p>De man, die vermoedelijk een psychose had, stond vorige week op zijn balkon met een hakbijl in de hand &#8220;Allahu akbar&#8221; te roepen</p>
‘Afgescheept’ met een ‘flutbedrag’
Oud-defensiepersoneel dat met het giftige chroom-6 werkte, is blij met de excuses van het ministerie, maar boos over de schaderegeling. "Wij accepteren dit niet."
Een digitaal dieet voor iedereen
Alle verplichte digitale diëten en #deleteFacebook-oproepen ten spijt, om weer baas te worden over je eigen bereikbaarheid moet je de fout eerst bij jezelf zoeken.
Wiebes houdt vast aan versterkingsstop Groningse huizen
<p>Het uitstellen van de versterking kwam Wiebes op veel kritiek te staan. Toch zijn Groningse bestuurders tevreden met enkele garanties die de minister maandag aan ze gaf.</p>
Dag op aarde duurde 1,4 mld jaar geleden maar 19 uur
De aarde is langzamer gaan draaien. Dat concluderen onderzoekers door astronomische en geologische gegevens te combineren.
Kredietcrisis maakt arme Amerikanen nog ongezonder dan rijke
Hoogopgeleiden leven jaren langer dan laagopgeleiden. De kredietcrisis heeft die kloof vergroot in de VS, maar niet in Europa. Hoe komt dat?
Hongaarse regeringspartij Fidesz verbreekt banden met CDA
De Hongaarse regeringspartij Fidesz verbreekt alle banden met het CDA na aanvaarding van een kritische motie door het partijcongres.
85 kandidaten burgemeesterschap Amsterdam
<p>Het heropenen van de vacature heeft tot bijna drie keer zoveel sollicitanten geleid.</p>
‘Geen algeheel verbod op knalvuurwerk en vuurpijlen’
<p>Het kabinet gaat daarmee in tegen het advies van de OVV die juist voor een algeheel verbod is. Jaarlijkse vinden er 11.000 incidenten plaats rondom de jaarwisseling.</p>
De patstelling tussen Ajax en de familie Nouri
De familie van Abdelhak Nouri stapt naar de arbitragecommissie van de KNVB. Kan Ajax aansprakelijk worden gesteld voor het lot van de voetballer?
Ambassadeur VS in Berlijn breekt lans voor conservatisme
Richard Grenell, Amerikaans ambassadeur in Duitsland, wekt ergernis door zich openlijk als politiek pleitbezorger van Donald Trump te profileren.
Ook rechter verbiedt barbecue Pegida bij Utrechtse moskee
<p>Pegida wilde maandagavond gaan barbecueën bij een Utrechtse moskee. In een kort geding verbood de voorzieningsrechter dat plan.</p>
‘Gevaarlijke situaties gevangenis Alphen a/d Rijn door onderbezetting’
<p>De penitentiaire inrichting kampt met hoog ziekteverzuim. Dit leidt volgens personeel en gevangenen tot onveilige situaties.</p>
‘Vulkaan van Vuur’ bedekt Zuid-Guatemala onder as
Een uitbarsting van de 'Vulkaan van Vuur' in Guatemala heeft aan zeker 25 mensen het leven gekost. Let op: deze fotoserie bevat schokkend beeld.
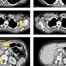
Borstkankerpatiënt genezen door afweertherapie
Een patiënt met uitgezaaide borstkanker lijkt genezen na een nieuwe behandeling met haar eigen bloedcellen, zo schrijft Nature Medicine.
Staatssecretaris Visser: ‘Te weinig veiligheid in Defensie-organisatie’
Niet voor het eerst moet het ministerie van Defensie door het stof vanwege veiligheidsincidenten met medewerkers. Cultuurverandering is nodig, zegt Barbara Visser (VVD).
Higgsdeeltje bemoeit zich ook met superzware quarks
Opwinding bij Cern! Het net ontdekte higgsdeeltje blijkt te doen wat is voorspeld.
Salvini trotseert verwijt van racisme en wil snelle aanpak van migratie
Het nieuwe kabinet wil illegale migranten meteen uitzetten en nieuwe migratie ontmoedigen. Xenofobie? Brussel lijkt er wel wat in te zien.
Ambulancepersoneel krijgt nog dit jaar meer loon
<p>Om het personeelstekort op te lossen worden daarnaast de lonen vanaf volgend jaar gelijkgetrokken met de salarissen van ziekenhuispersoneel.</p>
Naam Monsanto verdwijnt na overname door Bayer
<p>Met de voltooiing van de deal ter waarde van 63 miljard dollar verdwijnt ook de naam Monsanto van de gevel.</p>
...2084208520862087208820892090209120922093...