Article 73S3N This Is What a Brain Destroyed by Measles Looks Like

This Is What a Brain Destroyed by Measles Looks Like

by
Ed Cara
from Gizmodo on (#73S3N)
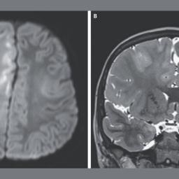
Story ImageA new case report illustrates the deadly impact of subacute sclerosing panencephalitis, a rare complication of measles infection.
External Content
Source RSS or Atom Feed
Feed Location http://gizmodo.com/rss
Feed Title Gizmodo
Feed Link https://gizmodo.com/
Reply 0 comments