Article 74MSN Hoe plak je een klaplong?

Hoe plak je een klaplong?

by
from on (#74MSN)
Story Image

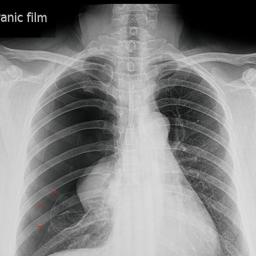
Een long kan soms inklappen. Spontaan, of na een ongeluk, door ziekte of bijvoorbeeld blowen.

External Content
Source RSS or Atom Feed
Feed Location http://www.nrc.nl/rss.php
Feed Title
Feed Link http://www.nrc.nl/
Reply 0 comments