Feed heise-online-news heise online News

Favorite Iconheise online News

Link https://www.heise.de/
Feed http://www.heise.de/newsticker/heise.rdf
Updated 2026-04-01 20:00
Nextcloud: Inititative für eine souveräne europäische MS-Office-Alternative
In Kooperation mit europäischen Behörden soll die Kollborationsplattform Nextcloud Hub zu einer vollständigen Umgebung für Office-Arbeitsplätze werden.
Apple-Chef Tim Cook: Selbstreparatur etwas für "Hobbyisten und Bastler"
Der Apple-CEO hat sich zum Self Service Repair Program des Konzerns geäußert, das nun auch für den Mac startet. Man wolle "Hobbyisten und Bastler" unterstützen.
Passwortmanager: Einbrecher kopieren Quellcode bei LastPass
Es gab unbefugte Zugriffe auf die Entwicklungsumgebung vom Anbieter des Passwortmanagers LastPass. Kundendaten sollen nicht gefährdet sein.
Unfallforschung: Elektroautos kollidieren öfter als Verbrenner
Elektroautos haben ein anderes Fahrverhalten als herkömmliche Fahrzeugen. Daher sind sie in Unfallstatistiken einer Schweizer Versicherung überpräsent.
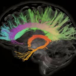
Was hinter der verbesserten Gedächtnisleistung durch Stromimpulse steckt
Die nicht-invasive Hirnstimulation kann bei neurologischen und psychiatrischen Leiden helfen. Eine Studie mit Gesunden lässt aber noch Fragen offen.
Formel 1: Audi steigt ab der Saison 2026 ein
Audi wird ab 2026 mit einem eigenen Hybridantrieb an der Formel 1 teilnehmen. Grund für das Engagement sei ein Reglement, das den elektrischen Anteil stärke.
#TGIQF: Neue Spiele auf der Gamescom – alte Spiele im Quiz
Es gibt Spieleklassiker, die kennt jeder. Während bei manchen klar ist, aus welchem Hause sie kommen, sind die Entwickler anderer Spiele eher unbekannt, oder?
House of the Dragon legt Serienstart des Jahres hin
Die neue Game-of-Thrones-Serie ist sowohl hier als auch in den USA ein voller Erfolg. So sehr, dass beim Serienstart die Technik kapitulierte.
Refurbished statt neu bei AppleCare: Auszahlung von 95 Millionen Dollar beginnt
Der Konzern hatte generalüberholte Hardware statt Neuware als Austauschgeräte verwendet. Die daraufhin eingereichte Kundenklage wird teuer.
heise+ | Kabelfritz-Monitor: Die Leistungsgüte von Fritzboxen mit dem Raspi überwachen
Mit einem Kabelfritz-Monitor können Sie die von Fritzboxen erfassten Leitungsparameter auf einem Linux-Rechner dauerhaft speichern. Wir zeigen, wie das geht.
Gamescom: Spielemesse: Die Tops und Flops der Gamescom 2022
"Wie früher, nur besser"? Diese übermütigen Ambitionen konnte die Gamescom 2022 nicht immer halten. Die Redaktion präsentiert Highlights und Enttäuschungen.
heise-Angebot: iX-Workshop: In drei Tagen zum IT-Grundschutz-Praktiker mit Zertifikat
Sie erhalten einen umfassenden Überblick über Inhalte und Umsetzung der IT-Grundschutz-Methodik des BSI. Mit anschließender Prüfung zum Grundschutz-Praktiker.
SpaceX und T-Mobile US: Smartphones sollen sich künftig mit Starlink verbinden
In den USA will T-Mobile mithilfe des Satelliteninternets Starlink ein Ende der weißen Flecken erreichen. Nötig sind dafür aber bessere Satelliten von SpaceX.
Appell an Karl Lauterbach: Teuren Konnektortausch im Gesundheitswesen verhindern
Der Hardware-Tausch der Router für die medizinische Telematikinfrastruktur hat begonnen, jetzt kann ihn nur noch der Bundesgesundheitsminister selbst stoppen.
heise-Angebot: 3D-Druck: Mehrfarbige Objekte konstruieren in Tinkercad
Wer 3D-Modelle für den Druck mit mehreren Materialien bauen will, ist mit Tinkercad gut beraten. Was es dabei zu beachten gibt, steht in der Make 4/22.
Gasspeicher: Wie viel Spar-Potenzial die deutsche Industrie bietet
Eine neue Analyse zeigt, wie die erdgasbasierte Produktion in Deutschland den Stopp russischer Gaslieferungen auffangen könnte. Doch Verfehlungen werden klar.
Norton Safe Web brandmarkt DNS-Spezialisten irrtümlich als Phishing-Angreifer
Der Dienst hat ausgerechnet die Webseite des gemeinnützigen Vereins deSEC als gefährlich eingestuft. Dieser engagiert sich für die Sicherheitstechnik DNSSEC.
Gefahrloser Umgang mit E-Mails
Gefährliche Mails sollte man nicht öffnen. Damit Sie nicht in die Phishing-Falle tappen, müssen Sie ein paar Sicherheitsvorkehrungen treffen.
Klimawandel: Erheblich mehr gefährliche Hitze auch in gemäßigten Breiten möglich
Die Dauerhitze dieses Sommers ist manchem jetzt schon genug. Wie stark die Wahrscheinlichkeit für gefährliche Hitzetage steigt, haben Forscher nun publiziert.
Verbraucherzentralen warnen vor Verteuerung von Streamingdiensten
Die EU plant, von Telekommunikationsanbietern eine Art Internet-Maut zu verlangen. Das könnte einige Angebote verteuern, warnt eine Verbraucherschützerin.
Freitag: Kundendienst für Facebook, Exoplanet als Kandidat für Ozeanwelt
Persönlicher Facebook-Support + Exoplanet mit möglichen Ozeanen + E-Fuels als Scheinlösung der Energiewende + Playstation 5 teurer + Videos gegen Desinformation
Checkliste: Mails so verschicken, dass man Ihnen vertraut
Damit Ihre Mails nicht aussortiert werden, sollten Sie es dem Empfänger so leicht wie möglich machen. Wenn Sie die folgenden Tipps beherzigen, gelingt das.
Auslegungssache, der Datenschutz-Podcast von c't - Ausgabe 69: Vorsicht Kamera!
Ob an der Wohnungsklingel oder auf Parkplätzen: Überwachungskameras sind allgegenwärtig - und verstoßen oft gegen Datenschutzrecht. Was gilt es zu beachten?
Bericht: Meta plant eine Kundendienstabteilung für Facebook
Nutzer sollen persönliche Antworten bekommen können, wenn Beiträge gelöscht oder Konten gesperrt werden, verlangt Facebooks Aufsichtsgremium.
TechStage | Muss es immer das Top-Smartphone sein? Geld sparen mit dem Vorgängermodell
Mythos oder Wahrheit: Wer das Top-Smartphone aus dem Vorjahr kauft, spart bares Geld. Stimmt das wirklich? TechStage hat es anhand aktueller Modelle überprüft.
Lahmes mobiles Internet: Bis zu 90 Prozent weniger Speed soll statthaft sein
Die Bundesnetzagentur hat Eckpunkte zur Minderung für Mobilfunk-Internetzugänge veröffentlicht, wenn die versprochene Bandbreite nicht geliefert wird.
Gamescom: "Warhammer 40K Rogue Trader": Tabletop trifft "XCOM"
Mit "Pathfinder"-Spielen hat sich Owlcat einen Namen unter DnD-Fans gemacht. Das kommende "Warhamer 40K Rogue Trader" will mit Rundentaktik überzeugen.
IFA: IFA 2022: Neustart in eine ungewisse Zukunft
Eine Woche vor dem "Technik-Event des Jahres" sind die dunklen Wolken über der Messe noch nicht wieder verzogen. Auch die Konjunktur trübt die Aussichten.
Apple: Patentanmeldung für mehrfach faltbares Display
In Zukunft kann man iPhone und iPad vielleicht knicken: Apple hat ein Patent angemeldet, das ein faltbares und zugleich beständiges Display beschreibt.
softwarearchitektur.tv live von der SoCraTes-Konferenz: Longevity/Langlebigkeit
heise Developer präsentiert den Videocast von Eberhard Wolff und Lisa Moritz: Diesmal in englischer Sprache mit Samir Talwar, live von der SoCraTes Conference.
MacBook Air 2022: Preise sinken deutlich
Ungewöhnlich schnell ist das MacBook Air M2 im Handel deutlich unter dem Apple-Preis erhältlich – obwohl der Hersteller immer noch nicht direkt liefern kann.
Fitness-Firma Peloton mit Milliardenverlust
Am Anfang der Pandemie war die Fitness-Firma Peloton ein großer Gewinner. Doch nun häufen sich die Probleme.
WTF: DeskPi Super6C: Sechs Raspberry Pi CM4 auf einem einzelnen Mini-ITX-Mainboard
Was tun, wenn die Leistung eines Raspis nicht ausreicht? Eine Idee: Einfach sechs Stück auf einem Mainboard kombinieren, etwa für einen Heimserver.
Kurz informiert: Gasumlage, Verbrenner, Desinformation, Ethereum
Unser werktäglicher News-Überblick fasst die wichtigsten Nachrichten des Tages kurz und knapp zusammen.
heise+ | Kurztests: Videoschnitt-App, USB-Audio-Mischpult und dynamisches Mikrofon
Wir haben Microsofts hauseigenes Videoschnittprogramm Clipchamp, den Live Streamer AX310 von AVerMedia und das Mikrofon Dynacaster von SE Electronics getestet.
Sense 2, Inspire 3 und Versa 4: Fitbit zählt hoch
Google stellt drei neue Fitness-Tracker von Fitbit vor. Diese sollen rund um die Uhr die wichtigsten Körperfunktionen überwachen.
Gamescom: Hass auf Gaming-Plattformen: Warum die aktuellen Gesetze nicht ausreichen
Frauen hätten auf Twitch & Co. "krass mit Sexismus zu kämpfen", monierte die Grüne Emily Büning auf der Gamescom. Die Betreiber müssten gegensteuern.
TechStage | Smart Home ohne App steuern: Schalter, Taster & Co. ab 8 Euro
Wer Geräte oder Automatisierungen im Smart Home steuern möchte, will nicht immer zum Smartphone greifen. Mit Schaltern und Fernbedienungen geht das bequemer.
Machine Learning: Ray 2.0 macht verteilte Workloads großer Modelle skalierbarer
Das Framework zum Skalieren von KI- und Python-Apps unterstützt die Zufallswiedergabe großer Datensätze über 100 Terabyte. Es führt die AI Runtime Ray AIR ein.
Präziser als Radiokarbonmethode: KI soll archäologische Funde datieren
Wieder soll eine KI die Arbeit von Archäologen und Archäologinnen erleichtern. Bei TPS geht es um eine viel präzisere Datierungsmethode, als die C14-Datierung.
Digitalisierung in Deutschland: Große Mehrheit von der Regierung enttäuscht
Den Deutschen geht es nicht schnell genug voran mit der Digitalisierung. Digitale Souveränität ist ihnen wichtig, aber was braucht man eigentlich dafür?
heise+ | Automatisierungsplattformen fürs Business ausprobiert und verglichen
Plattformen wie Zapier, Make und Tray.io automatisieren repetitive Aufgaben mit wenigen Klicks und helfen dadurch, Zeit zu sparen. Wir haben sie ausprobiert.
DJI Avata: DJI bringt neue, kleinere Drohne mit First Person View
Mit den neuen DJI Goggles 2 und DJIs Bewegungssteuereinheit sollen selbst unerfahrene Piloten die Mini-Drohne aus der Ich-Perspektive fliegen können.
heise-Angebot: secIT Digital: "Lessons learned" – so reagiert man effektiv auf IT-Attacken
Die Security-Konferenz secIT findet im September digital statt. Viele Themen sind von den heise-Redaktionen handverlesen. Jetzt kostenloses Ticket sichern.
PS5-Preiserhöhung: Sony erhöht Preise für die Playstation 5 – ab sofort
Die Playstation 5 wird teurer. Sony hebt den unverbindlichen Verkaufspreis seiner Spielekonsolen in Deutschland um 50 Euro an. Die USA sind nicht betroffen.
Elektroauto BYD Atto 3 im ersten Fahrbericht: Hochwertig, aber noch zäh ladend
Chinesische Autohersteller versuchen, in Europa Fuß zu fassen. Der BYD Atto 3 zeigt, dass die Chance auf einen Erfolg groß ist. Ein erster Fahrbericht.
EthereumPoW: Ein Fork für endloses GPU-Mining bahnt sich an
Die Kryptowährung Ethereum will im September den Abschied vom Mining schaffen. Bei dem großen Update könnte sich das Netzwerk aber in zwei Coins aufspalten.
Youtube: Die wohl größte Podcast-Plattform führt eine Podcast-Seite ein
Die Videoplattform Youtube ist bereits riesiger Podcast-Anbieter. Das Geschäft dazu soll anscheinend weiter ausgebaut werden, es gibt eine neue Webseite.
IEEE Spectrum: Python an der Spitze – aber Firmen suchen auch SQL-Kenntnisse
Zum neunten Mal hat die IEEE die populärste Programmiersprache gesucht. Python wurde Sieger – wer jedoch einen Job sucht, sollte zudem auch auf SQL setzen.
heise+ | Wie Künstliche Intelligenz eine neue koloniale Herrschaft etabliert
Künstliche Intelligenz kann durch Übersetzung Kulturen verbinden oder mühsame Routinetätigkeiten übernehmen. Doch greift sie auf koloniale Muster zurück?
...1087108810891090109110921093109410951096...