Feed heise-online-news heise online News

Favorite Iconheise online News

Link https://www.heise.de/
Feed http://www.heise.de/newsticker/heise.rdf
Updated 2026-03-30 19:15
HomePod OS 16.3: Neue Software mit vielen Neuerungen
Die neue Version der Firmware für HomePod, HomePod 2 und HomePod mini schaltet Sensoren frei, erweitert "Wo ist?" und verbessert den Klang.
heise-Angebot: Zusatztermin: Active Directory – Angriffe verstehen und verhindern
Das heise-Security-Webinar zu Schwachstellen und Sicherheitskonzepten des Active Directory war ausgebucht. Deshalb gibt es am 8. Februar einen neuen Termin.
Lichtverschmutzung verschlimmert sich deutlich schneller als angenommen
Etwa alle acht Jahre verdoppelt sich die Helligkeit des Nachthimmels in aller Welt. Damit ist die Lichtverschmutzung noch gravierender als bislang gedacht.
"Aufräumen in der Atmosphäre": Es geht nicht ohne CO2-Entfernung – laut Studie
Ohne die aktive Entfernung von CO2 aus der Atmosphäre wird es wohl nicht gehen. Forscher der Bestandsaufnahme fordern Anreize und Rechtsrahmen für die Methoden.
Paypal: Datenleck nach Zugangsdaten-Durchtesten von Angreifern
Paypal hat ein Datenleck bei der Generalstaatsanwaltschaft von Maine gemeldet. Angreifer hätten Zugangsdaten durchgetestet und Zugriff auf Konten erhalten.
Brennstoffzellenflugzeug ZeroAvia Dornier 228 gelingt Erstflug
Eine emissionsfreie Luftfahrt verspricht "Fliegen ohne Schuldgefühle". ZeroAvia ist dem mit einem mit Wasserstoff betriebenen Flugzeug näher gekommen.
GEW in NRW: IT-Fachkräfte zur Entlastung der Lehrkräfte einstellen
Auch in Nordrhein-Westfalen fehlen tausende Lehrerinnen und Lehrer. Die Gewerkschaft GEW will, dass Lehrkräfte von nicht pädagogischen Aufgaben befreit werden.
heise-Angebot: iX-Workshop: Pentests – Methodik, Ausschreibung, Auswertung (Last Call)
Penetrationstests gezielt und methodisch beauftragen und einsetzen, um Schwachstellen in der eigenen IT aufzuspüren und zu beseitigen. Online, zwei Vormittage
Twitter: Gesperrte Drittanbieter-Apps jetzt offiziell verboten
Vor einer Woche gesperrte Apps wie Twitterific sollen gegen langjährige API-Regeln verstoßen haben. Die wurden aber jetzt entsprechend geändert.
heise+ | Programmieren mit dem Raspberry Pi Pico: Back to BASIC
Auf dem Raspberry Pi Pico mit MMBasic einfach losprogrammieren. Dank des eingebauten Editors braucht man außer dem Pico ein Terminalprogramm. Eine Anleitung.
Smart-Home-FAQ für Einsteiger: Was bringt, erfordert und kostet es?
Vor allem die Möglichkeiten zum Energie sparen machen das Smart Home gerade beliebt. Wie Haushalte richtig einsteigen und was sie davon haben, klärt diese FAQ.
Warnstreiks bei der Post: Pakete und Briefe können sich verspäten
Verdi fordert für Post-Mitarbeiter eine Lohnerhöhung zum Inflationsausgleich. Damit mache es sich Verdi zu einfach, argumentiert die Deutsche Post.
Freitag: Cyber-Attacke auf T-Mobile USA, Netflix mit überraschendem Ergebnis
Millionen Handy-Kunden betroffen + Netflix mit Umsatzplus und Gewinn + TikTok droht EU-Verbot + Suche nach Quanten-sicherer Kryptografie + Amazons teurere Musik
Chinesischer Autohersteller Li Auto: Luxus zum Spartarif
Li Auto setzt auf SUV mit Range Extender – und natürlich auf Abo-Systeme, Apps und Künstliche Intelligenz. Die Ziele sind ambitioniert, die Preise eher nicht.
Die schwierige Suche nach Quantencomputer-sicherer Kryptografie
Quantencomputer der nächsten Generation würden asymmetrische kryptografische Schlüssel schnell knacken. Das gefährdet auch das weltweite Domain Name System.
Erneut Cyber-Angriff auf T-Mobile US - rund 37 Millionen Kunden betroffen
Die US-Tochter der deutschen Telekom ist Opfer einer weiteren Hacker-Attacke geworden. Es seien aber keine hochsensiblen Kundendaten erbeutet worden.
Netflix überrascht beim Umsatz, schafft kleinen Nettogewinn
Für das vierte Quartal meldet Netflix kaum Umsatzzuwachs und eine geringere Marge, aber immerhin keinen Verlust. 2023 sieht das Management rosig.
Lebensgefährliche Videos: EU droht Tiktok mit Verbot
Tiktok unternehme zu wenig für den Schutz der (oft minderjährigen) User, kritisiert EU-Kommissar Breton. Er droht mit einem EU-weiten Verbot.
TechStage | Gadgets für Skifahrer: Beheizte Kleidung, smarte Helme, Wearables, Apps & Co.
Ein Helm mit Kopfhörern und SOS, Smartwatches und Apps oder beheizte Jacken für kalte Tage auf dem Gipfel: TechStage zeigt Gadgets zum Skifahren.
Cloud-Fotos für KI-Trainingszwecke: Adobe wehrt sich gegen Vorwürfe
Mit Bildern und Videos aus seiner Cloud will Adobe künftig keine KIs trainieren. Dies sei auch bisher nicht der Fall gewesen, sagt das Unternehmen.
Gigantischer Himmelsatlas enthält 3,3 Milliarden Objekte in der Milchstraße
Eine Forschungsgruppe hat einen immensen Katalog zu einem Ausschnitt der Milchstraße veröffentlicht. Er umfasst über drei Milliarden Objekte.
"Stinkefinger": WhatsApp kommt bei Einwilligungstrick mit kleiner Strafe davon
WhatsApp soll laut der irischen Datenschutzbehörde 5,5 Millionen Euro für seine Praxis zur "Zwangseinwilligung" zahlen. Max Schrems beklagt Arbeitsverweigerung.
Pandoc 3.0: freier Markup-Dokument-Konvertierer erhält umfassendes Update
Im Hauptrelease 3.0 bekommt das Open-Source-Werkzeug Pandoc eine lange Liste von Änderungen. Im Fokus stehen unter anderem grafische Darstellungen.
Erste Benchmarks: So schneidet der Mac mini M2 Pro im Vergleich zum M1 Max ab
Bei GeekBench sind erste Messungen der CPU-Leistung des Mac mini mit M2 Pro aufgetaucht. Die Ergebnisse lassen erste Rückschlüsse auf die Leistungsfähigkeit zu.
Bundesregierung geht mit Instagram-Profil online
Seit Donnerstag informiert die Bundesregierung nun auch auf einem eigenen Account auf Instagram. Der richtet sich vor allem an junge Nutzer und Nutzerinnen.
Forschung: ChatGPT bereits als Co-Autor mehrerer Fachartikel genannt
ChatGPT ist erst seit Wochen frei verfügbar, aber die Forschung beschäftigt sich intensiv mit der KI. Debattiert wird, ob die KI Fachartikel mitverfassen kann.
Windenergie: Ausbau 2022 erneut "ernüchternd", 2023 aber rekordverdächtig
Der Bruttozubau bei Windrädern an Land lag 2022 zwar 25 Prozent höher als im Vorjahr. Er blieb aber zu niedrig, um die Ziele der Bundesregierung zu erreichen.
Apple-Preise in Europa: Auch HomePod mini und iMac M1 werden teurer
Apple hat weitere Preiserhöhungen bei bestehenden Modellreihen vorgenommen. Im Handel sind HomePod mini und iMac teils noch günstiger zu finden.
Dropbox für macOS: Umstieg auf Apple-API bringt Probleme
Bis Ende Mai will Dropbox alle Mac-Nutzer auf die neue, von Apple vorgeschriebene Schnittstelle umziehen. Aktuell kann das AirDrop lahmlegen.
heise meets … Der Gründer der Lünendonk-Listen hat seine Nachfolge geregelt
Viele tausend kleine und mittlere Unternehmen müssen aufgeben, weil ihre Inhaber keinen Nachfolger finden. Thomas Lünendonk hat seine Nachfolge geregelt.
heise+ | Hacker gesucht: Wer prüft die unhackbare Wahlmaschine?
Juan Gilbert will einen Wahlcomputer entwickelt haben, der alle gängigen Missbrauchsmöglichkeiten verhindert. Noch wurde sie nicht getestet.
Open-Source-Screencapturing mit ShareX: Grafiken direkt am Bildschirm anheften
Mit ShareX 15.0.0 erhält die freie Screencapturing-Anwendung unter anderem eine Funktion, mit der sich Bilder schnell einer Übertragung beifügen lassen.
Kurz informiert: Zementwerk, HomePod mini, Cyber-Betrug, Prime Music Unlimited
Unser werktäglicher News-Überblick fasst die wichtigsten Nachrichten des Tages kurz und knapp zusammen.
Mechanische Handprothese aus dem 3D-Drucker
Weil ihm kommerzielle Handprothesen nicht zusagen, baut sich Ian Davis seine eigenen. Auf seinem YouTube-Kanal hilft er mit seinen Anleitungen auch anderen.
Homeoffice: Zwei Arbeitszimmer dürfen beide voll von der Steuer abgesetzt werden
Das Finanzamt wollte die angegebenen Homeoffice-Kosten eines Vertriebsleiters halbieren. Ein Gericht machte der Behörde einen Strich durch die Rechnung.
Zum Ende von Stadia: Google hat Bluetooth im Spiele-Controller aktiviert
Wenn Google Stadia demnächst abschaltet, lässt sich der Controller nur noch per Kabel nutzen. Inzwischen hat Google das versprochene Bluetooth-Update aktiviert.
Dashboard für das Gesundheitsnetz zeigt eine Million eingelöste E-Rezepte
Binnen knapp eines Jahres wurden eine Million E-Rezepte eingelöst. Dies geht aus dem Dashboard für die Telematikinfrastruktur der Gematik hervor.
Mehr Weite, mehr Licht: Neue Objektive von Sony und Voigtländer
Sony erweitert beim neuen Standardzoom den Weitwinkelbereich, Voigtländer bringt für Nikon Z ein extremes Weitwinkel und eine lichtstarke Normalbrennweite.
Wirecard-Kronzeuge: Ich bekam 4,8 Millionen
Beim Wirecard-Konzern sollen über drei Milliarden Euro veruntreut worden sein. Im Prozess fragt der Richter den Kronzeugen: "Welchen Vorteil hatten Sie davon?"
Loongson LS2K1500: Komplett chinesische CPU – von der ISA bis zur Fertigung
Eine vollständig in China entworfener und gefertigter Prozessor nutzt zwei CPU-Kerne mit LoongArch-ISA. Er eignet sich vor allem für Controller-Aufgaben.
State of Software Security: JavaScript schlägt Java und .NET
Veracodes Bericht zur Softwaresicherheit listet Softwaremängel auf und zeigt zudem, dass Programme in JavaScript im Verhältnis die wenigsten Probleme aufweisen.
JavaScript-Runtime bun 0.5 ist mit npm Workspaces kompatibel
Das neue Minor Release kann erstmals npm Workspaces verwenden, beschleunigt die Buffer-Implementierung und arbeitet weiterhin an der Stabilität.
heise+ | Smartes Musiksystem: LE-Reihe von Braun im Test
Das Musiksystem LE soll an die Tradition von Musik- und Hi-Fi-Produkten im Bauhaus-Design anknüpfen, mit denen Braun einst Designgeschichte geschrieben hat.
Telefonabzocke: Über 150.000 Beschwerden wegen Rufnummernmissbrauch
Die Zahl der Verbraucherbeschwerden wegen Abzocke und Belästigung am Telefon war auch 2022 auf hohem Niveau. 1446 Rufnummern ließ der Regulierer abschalten.
Havarie: Cyber-Angriff auf Flottenmanagement-System trifft 1000 Schiffe
Die IT-Infrastruktur hinter der Flottenverwaltungssoftware Shipmanager von DNV wurde von einem Ransomware-Angriff getroffen. 1000 Schiffe sind davon betroffen.
Amazon schmeißt 18.000 Mitarbeiter raus – weltweit
Es ist die größte Kündigungswelle bei Amazon: 18.000 Mitarbeiter weltweit müssen gehen. Zunächst erfahren das nur jene in den USA, Kanada und Costa Rica.
"Tortuga – A Pirate's Tale" angespielt: Auf Schiffsjagd in der Karibik​
Im Piratenabenteuer "Tortuga – A Pirates Life" holen Spieler die Enterhaken raus und machen die Karibik unsicher. Das ist unterhaltsam, aber trocken inszeniert.
"Hogwarts Legacy", "Die Siedler: Neue Allianzen": Neue PC-Spiele im Februar 2023
Der Gaming-Februar bringt unter anderem "Hogwarts Legacy", "Octopath Traveler II", "Blood Bowl 3" und "Die Siedler: Neue Allianzen".
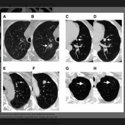
Studie: Deep-Learning-Modell "Sybil" soll bei Lungenkrebsfrüherkennung helfen
Mit dem Deep-Learning-Model "Sybil" ist es Forschern gelungen, das Lungenkrebsrisiko bis zu sechs Jahre vor der Erkrankung anhand eines CT-Scans zu bestimmen.
Urteil: Audi gewinnt Streit um Modellbezeichung gegen Nio
Audi hat in erster Instanz einen Rechtsstreit gegen Nio gewonnen. Der chinesische Hersteller darf die Bezeichnungen ES6 und ES8 vorerst nicht verwenden.
...954955956957958959960961962963...