Feed heise-online-news heise online News

Favorite Iconheise online News

Link https://www.heise.de/
Feed http://www.heise.de/newsticker/heise.rdf
Updated 2026-04-02 15:00
c't 3003: Ja, man kann einen Rubiks-Würfel in weniger als vier Sekunden lösen
Rubiks-Cube-Verdrehpuzzles (auch als "Zauberwürfel" bekannt) sind beliebt. c't 3003 zeigt, warum moderne Würfel Bluetooth haben und was Speedcuber so machen.
Googles Passwortmanager kann nun auf Geräten verschlüsseln
Googles Passwortmanager im Chrome-Webbrowser kann Passwörter nun lokal verschlüsselt speichern. Das sichert diese auch vor Googles Zugriff in der Cloud.
Elektroauto: Effizienz-Studie Mercedes-Benz Vision EQXX erreicht 8,3 kWh/100 km
Der Technologieträger Mercedes-Benz Vision EQXX fuhr mit einer Batterieladung über 1200 km. Er verbrauchte bei einem 83 km/h-Schnitt 8,3 kWh/100 km.
Mehr fps in Spielen: Xbox-Konsolen bekommen AMDs FSR 2.0
AMD und Microsoft bringen die Upscaling-Technik FidelityFX Super Resolution 2.0 auf die Xbox Series X/S und Xbox One. Davon profitieren auch PC-Spiele.
Apple-Browser Safari: Support für ältere Macs endet bald
Das Support-Aus für macOS Catalina zeichnet sich ab: Safari 16 läuft erst ab macOS 11. Die Tech-Preview des Browsers setzt sogar das aktuelle macOS 12 voraus.
heise+ | LaMDA und die Technik dahinter: Wie viele Parameter braucht's fürs Bewusstsein?
Das KI-Dialogsystem LaMDA hat ein Bewusstsein entwickelt – zumindest behauptet das Ex-Google-Entwickler Blake Lemoine. Doch wie funktioniert LaMDA eigentlich?
KI im Minecraft-Bootcamp: OpenAI trainiert Agenten mit Videos aus dem Internet
Durch Video PreTraining kopiert KI menschliches Verhalten im Videospiel Minecraft. Damit gelingt es Agenten zum ersten Mal, Diamantwerkzeug zu craften.
Kultusminister: Schulschließungen vermeiden, Präsenzunterricht hat Priorität
Die Kultusminister hoffen auf Präsenzunterricht im kommenden Schuljahr. Digitale Lösungen sind für sie kein Ersatz. Der Bitkom ärgert sich.
AirPods-Softwareupdate: Was es über die künftigen AirPods Pro 2 verrät
In der Beta des Software-Updates für die AirPods Max steckt ein neuer Bluetooth-Codec. Der sorgt für bessere Qualität und ist wegweisend für künftige AirPods.
Programmiersprache: Rust verteidigt seit sechs Jahren die Spitzenposition
Die neue Stack-Overflow-Umfrage zeigt Rust als beliebteste Programmiersprache, Newcomer Phoenix als beliebtestes Webframework und die höchstbezahlten IT-Rollen.
Mit Python in der Cloud entwickeln: Anaconda übernimmt PythonAnywhere
Mit Kauf der Webplattform PythonAnywhere will Anaconda eine Entwicklungs- und Kollaborationsumgebung für Pythonistas bereitstellen – zum Zugriff über Browser.
Softwareentwicklung: Concurrency in Go
Während die Grundlagen zur Nebenläufigkeit einfach erscheinen, gibt es doch einige Hürden, die es zu überwinden gilt. Go weiß lästige Data Races zu vermeiden.
KI-Programmiergehilfe CodeWhisperer ist Amazons Alternative zu GitHub Copilot
Auf AWS ist mit CodeWhisperer ein Machine-Learning-Service zunächst als Preview verfügbar, der Code auf Basis von Kommentaren in natürlicher Sprache erstellt.
Duesmann vs Lindner: Audi-Chef versteht Haltung zum Verbrennerverbot nicht
Deutschland werde nicht fürs Verbrennerverbot stimmen, sagt Christian Lindner. Audi-Chef Duesmann irritiert das. Er fordert stärkere Förderung der E-Mobilität.
Pixel-Challenge von Apple: Mit wenigen Pixeln das perfekte App Icon erschaffen
Apple fordert auf seiner Entwickler-Website zur Challenge heraus. Teilnehmer müssen mit wenigen Pixeln auskommen. Auf Twitter sind die Einreichungen zu sehen.
LG Gram 14: 1-kg-Notebook endlich mit mattem Display
Auf LGs 17- und 16-Zöller folgt das leichteste Notebook mit flottem Prozessor aus Intels Baureihe "Alder Lake". Das 1-kg-Modell Gram 14 ist verfügbar.
heise-Angebot: Mastering Kubernetes 2022: In einem Tag zum Kubernetes-Profi werden
Die sich an Developer, IT-Admins, Cloud Engineers und Dev(Sec)Ops richtende Online-Konferenz von Heise findet am 19. Juli 2022 statt.
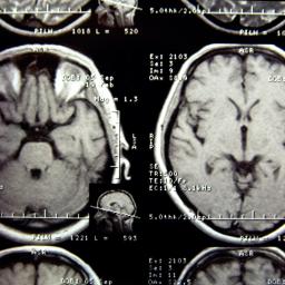
Long Covid: Protein-Ablagerungen im Gehirn wie bei Alzheimer oder Parkinson
Forschende haben in Tieren mit Long Covid-Symptomen ähnliche Veränderungen gefunden wie bei schleichenden neurologischen Erkrankungen.
Europäisches KI-Ökosystem: Aleph Alpha beginnt Partnerschaft mit Graphcore
Das deutsche KI-Unternehmen Aleph Alpha arbeitet mit dem britischen Chiphersteller Graphcore zusammen für das Erforschen und Entwickeln neuartiger KI-Systeme.
Erzwungener Abschied von Bildungsplattform BelWü: Es kocht in "the Länd"
Nach wie vor kämpfen Verbände, Eltern und IT-Lehrkräfte in Baden-Württemberg für ein Landesbildungsnetz. Ihre Argumente will aber offenbar niemand hören.
Mixed-Reality-Headset von Apple kommt angeblich im Januar
Ein gut informierter Analyst will Apples Zeitplan für den Eintritt ins AR/VR-Zeitalter kennen. Wirklich lange dauert es demnach nicht mehr.
Elektroautos: Lithium aus Thermalwasser – Stellantis steigt bei Vulcan ein
Der Konzern mit den Marken Peugeot, Opel, Citroën, Fiat, Jeep (u. v. m.) beteiligt sich zur Sicherung von Batteriematerial am Lithium-Förderer Vulcan Energie.
#TGIQF: Das Newsquiz zur Kalenderwoche 25
Lego, das Metaverse und eine "feuchte Generalprobe" – stellen Sie ihr aktuelles News-Wissen im Quiz unter Beweis!
Google Cloud: Cloud Spanner implementiert PostgreSQL-Interface
Google will sich mit einer neuen Schnittstelle Eigenschaften von PostgreSQL in der eigenen, relationalen Cloud-Datenbank Spanner zunutze machen.
heise-Angebot: Die Webinar-Serie von Heise: Ethical Hacking für Admins
In fünf Online-Trainings, vom 1. bis zum 29. September, können sich Interessierte zum Penetration Tester ausbilden lassen.
Sicherheits-Management: Teils kritische Lücken in Splunk geschlossen
Das Sicherheits-Management-System Splunk enthält teils kritische Sicherheitslücken. Der Hersteller dichtet die mit einer neuen Version ab.
Ukraine-Krieg: Cisco zieht sich vollständig aus Russland und Belarus zurück
Das Aussetzen der Geschäftsaktivitäten in Russland und Belarus ist nicht genug. Cisco verabschiedet sich ganz und nimmt Einbußen in Kauf.
Angreifer nutzen kontinuierlich Log4Shell-Lücke in VMware Horizon aus
Die Cybersecurity & Infrastructure Security Agency warnt vor Attacken auf die Virtualisierungslösung VMware Horizon. Admins sollten zügig handeln.
Wie Bakterien ein Speicher für Wasserstoff sein können
Ein neuartiger Bioreaktor mit Acetobakterien wandelt Wasserstoff zusammen mit Kohlendioxid zu Ameisensäure um – und setzt ihn auch wieder frei.
"Into the Breach": Indie-Darling kommt über Netflix auf Handys
Das Rundentaktikspiel "Into the Breach" gibt es nun auch für Android und iOS. Wer es spielen möchte, braucht allerdings ein Netflix-Abo.
Windows-Update-Vorschau: Microsoft behebt Hotspot-Fehler
Die Update-Vorschau für Windows 11 bringt viele kleine Verbesserungen. Microsoft behebt darin auch das Problem, dass der WLAN-Hotspot nicht nutzbar ist.
heise+ | Strom vs. Sprit: Wer fährt günstiger – Mercedes-Benz EQB oder GLB?
Mercedes EQB und GLB bieten bis zu sieben Plätze – aber mit unterschiedlichen Antriebskonzepten. Der Vergleich zeigt, was Sie das im Alltag kostet.
G7-Datenleak: Piratenpartei gibt Server-Kopien an Staatsanwaltschaft heraus
Die CryptPad-Instanz auf Servern der Piratenpartei hat die Staatsanwaltschaft München auf den Plan gerufen. Zur Beweissicherung wurden Daten beschlagnahmt.
Mit gutem Gewissen im ICE: Wie klimafreundlich ist die Bahn?
Auto und Flugzeug erzeugen schädliche Emissionen. Die Bahn steht besser da – auch wenn sie längst nicht nur mit Strom aus Erneuerbaren Energien fährt.
Videostreaming: Netflix streicht nach Kundenschwund weitere Stellen
Bereits im Mai strich Netflix 150 Stellen, nun werden weitere 300 Angestellte entlassen. Damit reagiert der Streaming-Dienst auf sinkende Kurse und Abos.
Spiel der Könige: Schachverband öffnet sich für Open-Source-Software
Lichess und Stockfish sind die wohl populärsten FOSS-Projekte in der Schachszene. Deren Vorzüge hat jetzt auch der internationale Schachverband FIDE erkannt.
Cell Broadcast im Katastrophenfall: Warum die Warn-SMS nur wenige erreichen wird
Die Schnittstellen für die Warn-SMS des BBK sollen bis zum 30. Juni bereitstehen. Was anderswo funktioniert, wird in Deutschland noch einmal neu erfunden.
Bahnbonus-Programm: Umstellung kommt mit zahlreichen Fehlern daher
Mit dem Rollout des neuen Status-Programms hat die Deutsche Bahn zahlreiche technische Probleme. Selbst ein höherer Status lässt sich leicht erschleichen.
Die extremsten Hitzewellen seit 1950 wurden nicht öffentlich bekannt
Ein Forscherteam analysiert Temperaturrekorde der letzten 70 Jahre. Einige blieben unbemerkt. Andere fühlten sich schlimmer an, als sie waren.
heise+ | Günstige Wärmepumpen-Alternativen: Split-Klima zum Heizen & Kühlen und Co.
Wärmepumpen-Zentralheizungen mit Förderung sind teuer und derzeit schwer zu bekommen. Wir diskutieren dezentrale Alternativen.
Studie: Impfungen verhinderten im ersten Corona-Jahr 20 Millionen Tote
Impfen hilft Corona-Tote zu vermeiden, bescheinigen britische Wissenschaftler in einer Studie. Sie bemängeln zugleich die ungerechte Verteilung von Impfstoffen.
heise-Angebot: Make-Sonderheft Pi Pico Special: Programmieren mit dem PI Pico
Das Heft, jetzt verfügbar, zeigt, wie man Projekte in C++, MicroPython und Basic umsetzt. Sogar Pac-Man und Doom in VGA funktionieren auf dem Pico.
Deutsche Bahn im Umbruch: Aufsichtsratschef geht, neue Vorstände kommen
Der Chefkontrolleur der Deutschen Bahn verlässt den Konzern überraschend. Ein Stühlerücken beginnt. Das Team DB soll nun "jünger und weiblicher" sein.
Raspberry Pi CM4S im Linux-Schaltschrankrechner Revolution Pi RevPi S/SE
Ein neues "Compute Module" CM4S steckt in kommenden Versionen des Steuerungsrechners Revolution Pi. Es ist für die Hutschienenmontage in Schaltschränken.
Freitag: Google-Warnung vor Handy-Spyware, Digitalisierung Österreichs langsam
Neue Spyware aus Italien + Firmen in Österreich skeptisch + Mediathek statt Streaming + Elektroauto BMW i4 im Test + Kommentar zum Energiesparen + Bit-Rauschen
Nachfrageflaute: Online-Modehändler Zalando streicht Prognose zusammen
Ukraine-Krieg, Inflation, kaum Corona-Beschränkungen – Zalando hatte seine Prognose für dieses Jahr schon nach unten korrigiert. Nun wurde nachgefasst.
Google: Android- und Apple-Handys von italienischer Spyware ausgespäht
Spyware von RCS Lab soll Smartphones in Italien und Kasachstan ausspioniert haben. Die Firma zählt europäische Strafverfolgungsbehörden zu ihren Kunden.
Jede 4. Firma Österreichs sieht keinen Nutzen in Digitalisierung
Covid19 beschleunigt die Digitalisierung der österreichischen Wirtschaft nur leicht. Zudem erwartet die Mehrheit der Firmen, dass die Neuerungen nicht bleiben.
TechStage | Schimmel bekämpfen, Gesundheit schützen: Smarte Technik für gutes Raumklima ab 20 Euro
Schadstoffe und eine hohe Luftfeuchtigkeit haben negative Einflüsse auf Mensch und Bausubstanz. Der TechStage-Ratgeber zeigt, wie man diesen Problemen begegnet.
ESA-Sonde BepiColombo erneut an Merkur vorbeigerast
Erst 2025 soll BepiColombo in einen Orbit um den Merkur einschwenken, bis dahin bremst sie mehrmals an dem Planeten ab. Nun war sie zum zweiten Mal dort.
...1143114411451146114711481149115011511152...