Feed science-the-guardian

Link http://feeds.theguardian.com/
Feed http://feeds.theguardian.com/theguardian/science/rss
Updated 2026-05-13 17:45
A cold day in Hilo as blizzard halts massive Hawaii telescope construction
Privacy and the 100,000 Genome Project
As the Department of Health starts to draw a map of thousands of genomes, will it keep its promise to anonymise our data? Edward Hockings and Lewis Coyne investigate Continue reading...
Zoology Notes 004: Chameleons contain crystals
Colour changes in chameleons are due to structural changes inside skin cells and not chemistry
Citizen science is making scientists of everyone
Citizen science is getting a lot of attention these days, which might make you think it is a new social phenomenon. But in fact, nothing is further from the truth: citizen science has been around much longer than any of us. Continue reading...
Televised leaders’ debates are pointless (according to science)
David Cameron is under intense criticism for refusing to take part in televised leaders’ debates. But such debates don’t matter anyway, according to available evidence Continue reading...
Why people leave their bodies to medical research – and what happens
Helping find answers to hereditary diseases, training surgeons or wanting to leave an educational legacy are the reasons. But what sort of people donate bodies to science?The first thing you notice as you walk into the operating theatre is the smell. There isn’t one. There’s no whiff of chemical preservatives, no sniff of disinfectant and, reassuringly, no smell of bodies. The room is brightly lit, spotlessly clean and there’s little noise apart from the buzz of air-conditioning units, the clatter of surgical tools and hushed conversation.It takes a while to get your bearings in such as clinical environment. It’s only when you do that you notice the dismembered human arms lying on bloodstained white absorbent pads on the stainless steel operating tables. Some have been severed above the elbow, others at the shoulder. Their waxy flesh is bruised – a natural process caused by the settling of blood after death – and their palms are covered with purple pen marks and deep incisions. Pairs of trainee surgeons in blue gowns and latex gloves work on each arm, supervised by consultants. This morning they dissected the fingers and palms, prising apart the skin to expose garish yellow layers of fat and chalk-white bones. This afternoon they are practising tendon repair. Continue reading...
Why crowdsourcing your decision-making could land you in trouble
Ever wonder why committees make bad decisions? Giving equal weight to everybody’s opinion might be the worse thing you could do Continue reading...
How science can be a children's playground for serious lessons
Learning through play shouldn’t just be about demonstrating science as a fun activity but nurturing a deeper engagement – and this can be easily done Continue reading...
Dog trained to detect thyroid cancer 'with 88% accuracy'
Frankie the dog delivers the diagnosis through smelling patients’ urine samples, according to a study conducted by the Arkansas University for Medical Sciences.A group of researchers in Arkansas have trained a dog to detect thyroid cancer by smelling patients’ urine samples.
Let's all move to Mars! The space architects shaping our future
We’ve had starchitects. Now we’ve got space architects. Oliver Wainwright meets the people measuring up the red planet for inflatable homes and farms made of moondust concrete
How Sarah Brightman lost her heart to the International Space Station
The recording star turned astronaut will blast off on a rocket in September to give a concert in spaceAge: 54.Appearance: one of those big-eyed Margaret Keane paintings, come to life. Continue reading...
Isis attacks on ancient sites erasing history of humanity, says Iraq
Antiquities ministry reiterates calls for international community to intervene after reports of new attack on ancient city of Dur Sharrukin Continue reading...
Global warming 'set to speed up to rates not seen for 1,000 years'
By 2020 the average temperature rise per decade will be 0.25C in the northern hemisphere, more than double the 900 years preceding the 20th centuryPeople need to brace themselves for accelerating climate change that could alter the way we live even over short time scales, scientists have warned.
Wellcome Trust 2015 Book Prize shortlist announced
The Wellcome Trust just announced the shortlist for their book prize. The shortlist, which celebrates the finest recent writing in health and medicine, includes two novels and four non-fiction books.Here’s a treat for the book lovers in the crowd: the Wellcome Trust just announced the shortlist for their book prize. The shortlist, which celebrates the finest recently published books in health, medicine and medical science, includes two novels and four non-fiction books. The prize aims to stimulate interest and debate about medical science, and the winning author is awarded £30,000. Continue reading...
Rodent recall: false but happy memories implanted in sleeping mice
Researchers at CRNS in Paris create artificial positive feelings in mouse’s memory for first time during sleep, highlighting possible new treatment for depression
False memories implanted into the brains of sleeping mice
Artificial memories implanted into sleeping mice influence the animals’ behaviour when they wake up Continue reading...
We need regenerative farming, not geoengineering
The quick fix mindset behind geoengineering must be transformed to one that seeks a humble partnership with nature if we are to address climate change Continue reading...
Inside the University of Oxford's Museum of Natural History
Today’s “Museum Monday” video tags along with several employees at the University of Oxford’s Museum of Natural History, and provides us with a glimpse of the many, varied, roles of a Natural History Museum within its local and scientific communities. Continue reading...
Warning: the truth behind handshake-sniffing may bum you out
Other mammals partake in abundant sniffing, often in the anogenital area – so what exactly are we doing when we smell our hand after shaking someone else’s?As we all know, a firm handshake is important in making a good first impression. It’s a sure sign of physical strength and, rightly or wrongly, we use it to make all manner of judgments about character, personality and sincerity.New research now suggests that we take away much more than this – quite literally – because shaking hands may also be a way that we smell each other. An Israeli team has published a paper that shows handshakes transfer aromatic compounds thought to be involved in social assessment – that is, making judgments about someone else by virtue of how they smell.We can detect whether someone is sick or healthy through their body odour, or whether they are fearfulStudies aiming to promote handwashing report bodily traces, including faecal bacteria, on hands of people on the street Continue reading...
IVF test improves chances of implantation by pinpointing fertility window
Clinical trials underway after scientists in Madrid pioneer technique which homes in on woman’s optimum time for treatment
Look! Up in the sky! It's a meteor, says 81-year-old WA farmer
‘Flash of light’ in a clear blue sky sends journalists and astronomy buffs rushing to find suspected meteorite Continue reading...
The future of extreme thrills - podcast
Why are humans attracted to intense, thrilling experiences that expose us to danger? Continue reading...
Swiss pilots attempt first around-the-world solar flight
Bertrand Piccard and André Borschberg will take turns piloting the single seater Solar Impulse 2 plane that is propelled solely by the sunA Swiss pilot has begun the first ever attempt to fly around the world in a plane propelled only by the sun.André Borschberg and his compatriot Bertrand Piccard will take turns piloting the single seater Solar Impulse 2 for 21,747 miles (35,000km) over 12 legs, including gruelling five- to six-day stints across the Atlantic and Pacific oceans. The entire journey will take five months. Continue reading...
Florida banned state workers from using term 'climate change' – report
‘Global warming’ and ‘sustainability’ among phrases allegedly barred at state’s Department of Environmental Protection, investigative report finds Continue reading...
The Guardian view on climate change and social disruption: how one form of chaos breeds another
Swings in temperature and rainfalls have often led to war and population displacement in the past. They may already be doing so again Continue reading...
A mathematical model of oppression: the Petrie Multiplier
A simplified mathematical model shows why you don’t need an evil majority to have an oppressed minority
On the importance of being negative
The ‘publish or perish’ culture within science skews the research literature towards positive results. But negative findings matter too and new open access publications are helping researchers to give a fuller account of themselves Continue reading...
Science: Where are the women?
What can be done to increase the numbers of women in science, technology, engineering and mathematics -- the so-called STEM fields? The Royal Society explores this very question in today’s video, which features physicist Dame Athene Donald FRS and cognitive neuroscientist Professor Sarah-Jayne Blakemore. Continue reading...
Why fresh water shortages will cause the next great global crisis
Last week drought in São Paulo was so bad, residents tried drilling through basement floors for groundwater. As reservoirs dry up across the world, a billion people have no access to safe drinking water. Rationing and a battle to control supplies will follow Continue reading...
Climate summit’s pledges on carbon cuts ‘won’t avert global disaster’
Government targets leave emission levels too high to prevent a big temperature rise, warns team of experts led by economist Nicholas Stern Continue reading...
Isis vandalism has Libya fearing for its cultural treasures
With five World Heritage sites and historical remains stretching back to before Roman times, archaeologists worry a unique legacy may be lost Continue reading...
Murmuration over Utrecht
Today’s “Caturday” video features a large flock of starlings -- a murmuration -- performing their spectacular aerial ballet in the sky over Utrecht, Netherlands. This is likely one of the last such performances until November, so catch it while you can! Continue reading...
Dawn spacecraft starts to orbit Ceres in mission to photograph dwarf planet
Probe that took off in 2007 will spend next 16 months studying Ceres’ surface in the hope it will solve the mystery of bright spots that has intrigued scientistsThe Dawn spacecraft has started orbiting Ceres, the largest-known body in the asteroid belt between Mars and Jupiter, taking “close-up” images that scientists hope will reveal the mystery of a pair of bright spots on the dwarf planet.Scientists have been intrigued by earlier images from the Nasa spacecraft of 621-mile-wide Ceres, with the brighter of the two spots in a crater reflecting at least 40% of the sunlight that falls on it.
Royal Society celebrates 350 years of scientific publishing
The first issue of Philosophical Transactions of the Royal Society was published 350 years ago today, and established a new model for publishing scientific, medical, academic and scholarly research. Continue reading...
Iraq's Nimrud before it was destroyed by Isis - video
A look at the ancient Assyrian city of Nimrud before it was looted and bulldozed by Islamic State (Isis) fighters. Footage shot in 2001 shows archaeologists working at the site, which is among Iraq's most celebrated. Nimrud, south of Mosul, was built around 1250 BC. Four centuries later it became the capital of the neo-Assyrian empire – at the time the most powerful state on Earth, extending to modern-day Egypt, Turkey and Iran Continue reading...
Teachers, not Nobel laureates, are the experts in how to teach science
Debates over practical work in school science have been hijacked by a scientific elite who seem uninterested in the evidence and expertise of practitioners Continue reading...
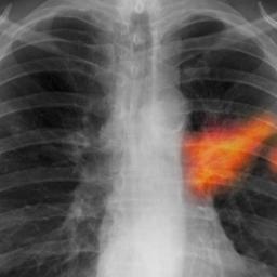
Lung cancer stem cell therapy to be trialled in UK
Trial will involve 56 patients with metastatic lung cancer who will undergo treatment using genetically modified bone marrow stem cellsBritish patients will be the first in the world to receive a pioneering cell therapy that scientists hope will transform the treatment of lung cancer.The treatment uses stem cells taken from bone marrow that have been genetically modified to find and destroy cancer cells. Continue reading...
350 years of the scientific journal: celebrating the anniversary of Philosophical Transactions
The first issue of the world’s first scientific journal was published on 6 March 1665. Its anniversary gives historians and scientists an opportunity to reflect on the past, present and future of scientific publishing Continue reading...
Caught by the lens: the hidden secrets of nature – in pictures
Daniel Kariko, assistant professor of fine art photography at East Carolina University, used a scanning electron microscope and a stereo microscope to produce this stunning image of a boll weevil’s head. It joins 19 other works – including extreme closeups of cats’ tongues and pollen grains – in this year’s Wellcome Image Awards
Images of star exploding four times captured by astronomers
Australian researchers were part of team able to capture images because of gravitational lensing, which magnified a supernova 9.3bn light years awayAustralian researchers were among a team that captured images of the same star exploding four times, thanks to its location behind a massive cluster of galaxies.The gravitational pull of the galaxies meant light and time were bent around them, creating a cosmic magnifying glass in a process known as gravitational lensing, which was first predicted by Albert Einstein’s theory of relativity. This magnified the supernova, which at 9.3bn light years away would have been too distant for the Hubble space telescope to detect were it not for this lensing effect. Continue reading...
Nasa finds evidence of a vast ancient ocean on Mars
A huge primitive ocean covered one-fifth of the red planet’s surface, making it warm, wet and ideal for alien life to gain a foothold, scientists sayA massive ancient ocean once covered nearly half of the northern hemisphere of Mars making the planet a more promising place for alien life to have gained a foothold, Nasa scientists say.The huge body of water spread over a fifth of the planet’s surface, as great a portion as the Atlantic covers the Earth, and was a mile deep in places. In total, the ocean held 20 million cubic kilometres of water, or more than is found in the Arctic Ocean, the researchers found.
What’s the big deal with spitting?
Jonny Evans and Papiss Cissé face a six-week ban for alleged gobbing. But that’s just a cultural aversion – unlike our disgust for excrement Continue reading...
The strange world of felt presences
What links polar explorer Ernest Shackleton, sleep paralysis, and hearing voices?On 20 May 1916, Ernest Shackleton, Frank Worsley, and Tom Crean reached Stromness, a whaling station on the north coast of South Georgia. They had been walking for 36 hours, in life-threatening conditions, in an attempt to reach help for the rest of their party: three of their crew were stuck on the south side of the island, with the remainder stranded on Elephant Island. To reach the whaling station, the three men had to cross the island’s mountainous interior with just a rope and an axe, in a journey that few had attempted before or since. By reaching Stromness they managed to save all the men left from the ill-fated Imperial Transantarctic Expedition.They did not talk about it at the time, but weeks later all three men reported an uncanny experience during their trek: a feeling that “often there were four, not three” men on their journey. The “fourth” that accompanied them had the silent presence of a real person, someone walking with them by their side, as far as the whaling station but no further. Shackleton was apparently deeply affected by the experience, but would say little about it in subsequent years, considering it something “which can never be spoken of”. Continue reading...
Major laser: the brightest light in the universe, photographed B-movie style
When Texas photographer Robert Shults gained unprecedented access to a Petawatt laser – which can create temperatures 1,000 times hotter than the centre of the sun – he drew on his favourite sci-fi films to show the facility in actionIt is hard to evoke the wondrous power of the Petawatt laser, an example of which is found in a laboratory three storeys underground at the University of Texas.If focused for an instant (one 10th of a trillionth of a second) on a spot one 10th the width of a human hair, it produces the brightest light in the universe – brighter than that created by black-hole-driven explosions. When targeted into a gas, the 1000tn-watt laser can create temperatures 1,000 times hotter than the centre of the sun. Continue reading...
Arctic sea ice is getting thinner faster than expected
Study combining disparate data for first time finds sea ice thickness down 65% since 1975 because of global warming, reports Climate Central Continue reading...
Jaw bone fossil discovered in Ethiopia is oldest known human lineage remains
Around 400,000 years older than previous discovery of homo lineage, 2.8m-year-old jaw and five teeth was found on rocky slope in Afar regionA lower jaw bone and five teeth discovered on a hillside in Ethiopia are the oldest remains ever found that belong to the genus Homo, the lineage that ultimately led to modern humans.Fossil hunters spotted the jaw poking out of a rocky slope in the dry and dusty Afar region of the country about 250 miles from Addis Ababa.
We can make science funding go further by better sharing equipment
A new report suggests more sharing of research equipment may be a better way of getting more bang out of the science funding buck than clawing back ‘efficiency savings’ out of grant funding.
Uncertainty over research funding is corrosive, Mr Pyne. Australia needs scientists
By linking higher education reforms to research funding, Christopher Pyne risks the closure of some of Australia’s most successful research centres Continue reading...
Psychedelic drugs like LSD could be used to treat depression, study suggests
Researchers warn that patients are missing out on potential benefits due to prohibitive regulations on research into recreational drugs
The Guardian view on the Large Hadron Collider: back to the future
Cern’s pathbreaking accelerator remains a breathtaking piece of engineering and science, as well as an example of European cooperation at its bestLater this month an engineer will throw a switch and one of Europe’s most successful cooperations will be back in business. The Large Hadron Collider has already identified a mysterious entity from the first trillionth of a second of creation called Higgs Boson and won two physicists a Nobel prize – and that was at half power. The big machine at Cern in Geneva has now been overhauled, enhanced and retuned. It will cautiously accelerate to full energy in the summer.In engineering terms alone, the partnership of thousands of scientists and engineers has been breathtaking. To function, the accelerator’s superconductors must be kept at just a degree or so lower than intergalactic space: that makes the instrument the coldest place in the universe. The piping around which the beams of protons whizz must be maintained at a vacuum as tenuous as interplanetary space. The matter accelerated in the collider is designed to reach 99.9999991% the speed of light in a vacuum. Continue reading...
...521522523524525526527528529