Feed science-the-guardian

Link http://feeds.theguardian.com/
Feed http://feeds.theguardian.com/theguardian/science/rss
Updated 2026-05-09 12:31
Beagles bred with muscular dystrophy offer ‘hope of a human cure’
Vets studying the muscle-wasting disease in dogs say new drugs being tested could halt its progress in humansAt first glance, the beagles running round the enclosure of the Royal Veterinary College look typical of the breed. Inquisitive and affectionate, the dogs rush from visitor to visitor, anxious to play and make contact. Endearing behaviour like this has made the beagle one of Britain’s most popular breeds.But closer scrutiny shows something unusual: some beagles look a little clumsy and weak on their paws. Occasionally one will stagger or stop in its tracks. The cause of this behaviour is straightforward. The dogs have the inherited the wasting condition muscular dystrophy. Crucially, the animals – kept at the college’s site near Potter’s Bar, Hertfordshire – suffer from a version very similar to the disease’s most common human version, Duchenne muscular dystrophy. Continue reading...
Doctors should always offer the option of HRT – but not everyone will want it, and that’s OK | Deborah Orr
It’s a dereliction of duty if doctors are failing to discuss HRT knowledgably with patients. But symptoms vary, and so do people – and if some choose to tough out the menopause without medication, then kudos to themThe National Institute for Clinical Excellence (Nice) has published new guidelines aimed at helping women and their GPs to reach an informed decision about hormone replacement therapy. Nice reckons that around a million women could currently be suffering debilitating menopausal symptoms because HRT is under-prescribed. The clear implication is that Nice experts reckon around a million women would make a different choice if they were better informed. Some might believe HRT is more risky than it really is. Others might never have had the opportunity to choose at all.The second matter is the more straightforward. Nice says its guidelines should prove useful to GPs who aren’t “expert” in HRT. Eh? Since the menopause is a condition that all of a GP’s female patients will encounter, surely all GPs should be fairly expert, because they are all used to routinely laying out the options to women patients as they reach their mid-40s. Continue reading...
Was Ripon school gripped by mass psychogenic illness?
What doctors used to call mass hysteria usually occurs among close-knit groups as anxiety weaves its way through, causing physical symptomsOn 15 February 1787, a young woman at a Lancashire cotton mill decided to scare one of her co-workers with a mouse. The prank made medical history. Terrified of the rodent, the woman on the receiving end had a fit that lasted hours. The next day, three more workers suffered violent fits. The day after, six more.Alarmed and mystified at the epidemic, the owners closed the mill amid rumours of a disease brought in by contaminated cotton. When Dr William St Clare arrived from Preston to investigate, he found 24 people affected. Three worked at another factory five miles down the road. He ended the epidemic swiftly. It was “merely nervous, easily cured, and not introduced by the cotton,” he concluded. Suitably reassured, all recovered and no more workers fell ill. Continue reading...
American 'space pioneers' deserve asteroid rights, Congress says
In a rare bipartisan moment US lawmakers opened up the possibility of mining on other worlds despite an international treaty barring sovereign claims in spaceAsteroid platinum and the briny water on Mars may soon be available for plunder, Republicans and Democrats have agreed, advancing a bill that would grant “space resource rights” and could challenge an international treaty on outer space.The US Senate passed the Space Act of 2015 this week, sending its revisions of the bill back to the House for an expected approval, after which it would land on the president’s desk. The bill has a slew of provisions to encourage commercial companies that want to explore space and exploit its resources, granting “asteroid resource” and “space resource” rights to US citizens who managed to acquire the resource themselves. Continue reading...
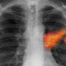
AstraZeneca lung cancer drug given green light in US
FDA approval of Tagrisso offers major boost for British company, seeking to release six new cancer medicines by 2020A new lung cancer pill from AstraZeneca has been approved by US regulators, in a major boost for the British drugmaker.AZD9291, which will be sold as Tagrisso, is for advanced non-small-cell lung cancer, the most common form of lung cancer. Tagrisso targets a genetic mutation, known as T790M, that helps tumours evade current lung cancer pills. The drug will be made available to patients in the US as soon as possible and its price will be “comparable to other oral cancer therapies,” a spokeswoman said. AstraZeneca will reveal the price early next week. Continue reading...
Why are conspiracy theories so attractive? podcast
Should we distrust our own ability to reason? Why is debunking conspiracy theories such a risky business? And is David Icke a force for good?Rob Brotherton is an academic psychologist and theorist of conspiracy theories. His new book is Suspicious Minds: Why We Believe Conspiracy Theories. He joins us down the line from New York City.With Nicola Davis in the studio is Chris French, professor of psychology at Goldsmiths, University of London, where he heads the Anomalistic Psychology Research Unit. Continue reading...
Out of the lab and into refugee camps: STEM and humanitarian aid
In the first of a new series, we look at how science, technology and engineering are helping those affected by war, natural disasters and homelessnessHere in the northern hemisphere the days have become shorter, and the wind colder. Winter is coming, and with it fresh threats to those in the overcrowded refugee camps at Calais, in Greece and elsewhere in Europe. On the streets of our towns and cities, the homeless will face increased challenges from the cold and seasonal illness. And of course, these issues are not isolated to cold-weather climes. Disease, overcrowding, lack of hygiene, lack of shelter: these are the problems that shape the response to homelessness and humanitarian crises worldwide. Continue reading...
Beard science: an examination of the power (and hazards) of Movember | Amy Coats
We’re already halfway through Movember, and beards are more than just hot. Amy Coats celebrates the historically and scientifically acclaimed, multi-faceted powers of the humble yet glorious beard.As a 27-year-old woman, I’ll probably have to wait a while before I am able to grow a beard. This Movember I was feeling a little left-out, so I did some research to try to discover what it’s like to grow and wear one, and what they’re good for.I’ve not got particularly strong feelings for or against facial hair. It seems only fair that men should have something to struggle with keeping at bay, or with which to indulge in a little vanity. But I do love Movember. It tickles me to see the faces of friends and colleagues transform, at various rates and in varying degrees, into hairy yet straight-faced beasts. Continue reading...
The best space facts ever – in pictures
Did you know Venus spins in the opposite direction to all the other planets in our solar system and there are thought to be trillions of diamonds on Uranus? Space experts Dr Dominic Walliman and Ben Newman tell all – with the help of Professor Astro Cat Continue reading...
Astronaut plays Amazing Grace on bagpipes on International Space Station – video
US astronaut Kjell Lindgren plays a rendition of Amazing Grace on the International Space Station on Saturday. The video is a tribute to a former colleague, research scientist Victor Hurst, who passed away last month. The bagpipes are reportedly made out of plastic, making them lighter and easier to clean Continue reading...
Is it a rocket? Is it a plane?
A potentially game-changing rocket engine has attracted significant new investment to allow it to enter development.The Synergetic Air-Breathing Rocket Engine (Sabre) combines elements of a jet and rocket engine. It is designed to enable a “spaceplane” to take off from a conventional runway and “fly” into orbit. Continue reading...
Collapsing Greenland glacier could raise sea levels by half a metre, say scientists
Huge Zachariae Isstrom glacier has begun to break up, starting a rapid retreat that could continue to raise sea levels for decades to comeA major glacier in Greenland that holds enough water to raise global sea levels by half a metre has begun to crumble into the North Atlantic Ocean, scientists say.The huge Zachariae Isstrom glacier in northeast Greenland started to melt rapidly in 2012 and is now breaking up into large icebergs where the glacier meets the sea, monitoring has revealed.
STI known as MG could have infected hundreds of thousands in UK
Study finds further evidence Mycoplasma genitalium, which has few symptoms, is sexually transmitted and may be present in 1% of adults under 45A sexually transmitted infection could have infected hundreds of thousands of people in the UK, research suggests.Mycoplasma genitalium, known as MG, has very few symptoms but is now known to be passed on through sex. It is estimated to affect 1% of 16- to 44-year-olds who report having had at least one sexual partner. Continue reading...
EU watchdog opens door to new licence for controversial weedkiller
Herbicide can now be approved for relicensing in EU, despite World Health Organisation assessment linking it to cancer in humansThe European Food and Safety Authority (Efsa) has removed barriers to the relicensing of glyphosate, a best-selling herbicide, despite World Health Organisation (WHO) warnings that the substance is “probably carcinogenic to humans”.The ruling opens the door to a new 10-year licence for glyphosate across Europe, although the authority set a threshold for exposure to the substance of of 0.5mg per kg of body weight for the first time. Continue reading...
The Ripon 'ripple of anxiety' and mass hysteria | Pete Etchells
When up to 40 children collapsed and suffered nausea at a Yorkshire school yesterday, media outlets were keen to diagnose ‘mass hysteria’. But what is it?One particularly strange story cropped up in the news yesterday: around 40 children were treated at a school in Ripon, Yorkshire, after collapsing during a Remembrance Day service. The trouble is, no one’s quite sure why it happened. Although a hazardous materials team were called in, no obvious toxic substances were found. The assembly room was warm, apparently, so the mass fainting could have been down to everyone overheating, but an alternative explanation that some media outlets are putting forward is that it was simply a case of ‘mass hysteria’.Mass hysteria is a fairly broad term that covers a few different types of collective delusions, so it might be more accurate to characterise the Ripon event as a case of ‘mass sociogenic illness’ or MSI – described in a 2002 paper by Robert Bartholomew and Simon Wessely as situation in which signs or symptoms of an illness spread rapidly through a group of people, and which don’t have any sort of organic cause. In a seminal paper in 1987, Wessely described two different types of MSI: mass anxiety hysteria, in which the event lasts a short time and, as the name suggests, manifests mainly in symptoms of anxiety and fear, and mass motor anxiety, which tends to be much more prolonged and manifests as a disorder of movement. Continue reading...
Which academic book is the ‘most influential’ ever written? | Rebekah Higgitt
Darwin’s Origin of Species was just crowned the most influential academic book ever written. Rebekah Higgitt makes the case for Newton’s Principia instead, and a more imaginative approach to ‘best of’ lists.The shortlist and winner of “most influential academic book ever written” was recently announced, kicking off the first Academic Book Week. It has, predictably, set academics’ tongues a-wagging, or at least their virtual Twitter tongues have been busy. Because Darwin’s Origin of Species topped the list, it has caught the attention of historians of science in particular. Does it deserve to be there? Is it an academic book? What on earth might we mean by “influential”? Who is missing from the list?#AcBookWeek off to a bad start by an evident misunderstanding of what reasonably counts as an 'academic' book. https://t.co/vcGPkT2VKm Continue reading...
Science Museum ends sponsorship deal with Shell
Arrangement with oil company will not be renewed when it lapses in December, but museum refuses to rule out future partnershipThe Science Museum will not renew a controversial sponsorship deal with Shell in which the oil company provided significant funding for its high-profile climate change exhibition.The museum in London answered a freedom of information request saying: “No, the Science Museum Group [formerly the National Museum of Science & Industry] does not have plans to renew its existing sponsorship deal or initiate a new deal or funding agreement with Royal Dutch Shell.” Continue reading...
Facing Jeremy Hunt's fear: an interview with a militant NHS doctor | Dean Burnett
The health secretary has recently caused more controversy by urging the medical profession to resist “militant doctors”. Who are they? What do they want? Why so aggressive?Those interested or worried about the current situation in the NHS with the controversial junior contract will be aware that health secretary Jeremy Hunt recently urged those in the medical profession to resist militant doctors. This is a move that surprised many, mostly because most people weren’t aware that there were militant doctors.What makes a doctor a militant, and how do they reconcile these disparate approaches of combat and healing the sick? I set out to find out more about these worrying individuals. Continue reading...
Satellite Eye on Earth: September 2015 – in pictures
Indonesia’s fires, autumn on the Great Lakes and Australia’s Earth art are among the images captured by European Space Agency and Nasa satellites last monthNasa astronaut Scott Kelly’s series of photographs of Australia taken from the International Space Station have been shared thousands of times on Twitter, where he posts them. This was the first photo in his Australia “#EarthArt” series. Continue reading...
Humanities are vital | Athene Donald
This week, the ‘Being Human’ Festival of the Humanities launches in London. Athene Donald argues that we must avoid seeing Humanities in opposition to Science.Writer and journalist Cristina Odone sparked a furore this past weekend by suggesting that her daughter was being pressured to take science to GCSE and this was unreasonable for a child with a literary bent. More provocatively, she claimed that “… this focus on STEM [Science, Technology, Engineering and Mathematics] subjects sends a message that makes her (and me) uncomfortable: doing a man’s work is more impressive than doing a woman’s.”Like many others, I disagree profoundly with her position. As I’ve argued before, taking science to age 16 should simply be seen as part of obtaining a well-rounded education. Furthermore, identifying STEM as a man’s subject leads in part to our crucial lack of diversity in the scientific workforce. Meanwhile, many male authors and poets might be surprised to learn that literature is ‘woman’s work’. Continue reading...
HRT could benefit one million women, says NHS menopause guidance
Guideline says GPs should explain cancer risks but that HRT offers effective menopause relief for many womenNHS guidance on treatment of the menopause could lead to many thousands more women being offered hormone replacement therapy (HRT) in the UK.Related: A guide to the menopause Continue reading...
Is it possible to retune your tastebuds?
Some people harbour violent hatreds of certain foods, and our own tastes can change over time. But is it possible to force our tastes to change?Brussels sprouts, Marmite, stinky cheese … these are all foods guaranteed to create divisions around the dinner table –and sometimes extreme reactions. A friend once ordered a baked camembert at dinner and I had to physically remove myself from the vicinity, such was its overpowering stench.Yet foods that once turned my stomach – mushrooms and prawns, in particular – now make a regular appearance on my plate. How is it that my opinion of a juicy grilled mushroom has gone from yuk to yum after 30 years of steadfast objection? And why is it that certain foods leave some diners gagging theatrically while others tuck in with vigour? Continue reading...
Using public toilets all over Mexico City completely changed the way I viewed it
The Mexican capital’s lavatories may not cope with its creaking sewage system, but what they lack in efficiency they make up for in creative designLee este artículo en españolI began photographing bathrooms in Mexico City more than a decade ago, when I got a severe case of salmonella that degenerated into chronic ulcerative colitis. Over the several years that I watched helplessly as the life drained out of my rear end, I visited more public bathrooms than anyone else in Mexico City. Running to bathrooms all over the city fundamentally changed the way I viewed it.
Skylarks’ chase casts shimmer on the soil
Sandy Bedfordshire Two skylarks took off, their feathers glinting against the tilled earth as if they were playing with sparklersIn the open farm fields wildlife was adapting to an outbreak of symmetry. Ploughs and harrows had left their marks, a crisscross patchwork of parallel lines. Some fields had lightly furrowed brows, others deep gullies and humpbacked hills.Pigeons flew overhead, flapping across from north to south, south to north, east to west and back, as if resetting their bearings. Continue reading...
Ebola nurse Pauline Cafferkey returns to Glasgow
Royal Free hospital says Cafferkey has made full recovery and is no longer infectiousPauline Cafferkey, the nurse treated in London for life-threatening complications months after she was apparently cured of Ebola, has been released from isolation and has returned to hospital in Glasgow.Related: Ebola nurse Pauline Cafferkey nearly died from meningitis, doctors say Continue reading...
Cockroaches grind jaws five times stronger than humans, says research
Insect can bite with 50 times more force than its body weight, helping it to chew through tough materials such as woodThe cockroach packs a powerful bite, thanks to jaws that can grind five times stronger than a human, or with 50 times more force than its body weight, researchers said.Faced with tough materials such as wood, they activate muscle fibres in their jaw to boost their bite to cope with repetitive, heavy-duty tasks, a study in the journal Plos One said on Wednesday. Continue reading...
Never mind pointless apps – our best minds should be solving real problems | Helen Lewis
A huge flowering of creativity is focused on the minor inconveniences of the cash-rich and time-poor. That’s why we need proper funding for scienceIt all started with the snacks. A few months ago I lied to myself that eating “omega booster seeds” or tiny squares of carrot cake was in some way a substitute for nipping out to get a packet of Fruit Gums from the corner shop, and signed up to get “nibbles” delivered directly to my desk.Related: Science research grants awarded on the basis of patents is patently wrong | Kim Carr Continue reading...
Earth-like world could be 'most important planet found outside solar system'
GJ 1132b is close enough for telescopes to observe any atmosphere it might have, which could help scientists spot signs of life on other planets in the futureA rocky Earth-sized planet that circles a small, nearby star could be the most important world ever found beyond the solar system, astronomers say.The planet lies in the constellation of Vela in the southern sky and is close enough for telescopes to observe any atmosphere it has, a procedure that could help spot life on other planets in the future.
Treating PTSD: psychologists look to the fear-reduction effects of exercise
Research has found that two weeks of three exercise sessions reduced fear in bodily sensations the same as 12 weekly therapy sessions. More study is needed, but doctors are cautiously optimistic about its applicationAmerican psychologists are hoping to treat veterans with post-traumatic stress disorder (PTSD) with a recommendation so well-worn by family physicians, it almost seems mundane: exercise.The nascent field of research has found reason to hope that physical activity can improve outcomes for those diagnosed with the persistent psychiatric disorders. Doctors hope that physical activity will eventually become part of the widely accepted psychotherapy and medication routines used to treat the condition synonymous with war that causes flashbacks, nightmares and hypervigilance. Continue reading...
The world in 2065: what do social scientists think the future holds?
A writing competition held by the Economic and Social Research Council asked PhD students to look 50 years into the future. Here are the winning piecesIgnorant as I am, I don’t think I’d ever fully appreciated the breadth of disciplines involved in social science until I was asked to help judge the Economic and Social Research Council’s (ESRC) writing competition this year.Held in conjunction with academic publisher Sage, and celebrating the ESRC’s 50th anniversary, the competition invited ESRC-funded PhD students from across the UK to use their creative and analytical skills and write a prediction of impact the social sciences and current research will have in 2065. Continue reading...
Leaving EU would be a 'disaster', British universities warn
Academics raise concerns over prospect of Brexit, arguing membership is crucial for funding and allowing research to thriveA British exit from the EU would be catastrophic for universities and scientific research, leading academics and scientists say, warning it would cost tens of millions of pounds in funding and leave prestigious UK institutions struggling to compete on the world stage.Related: 'Brexit would weaken UK universities' Continue reading...
Leaves turning fiery like metal blades in a forge
Wenlock Edge, Shropshire Autumn’s falling leaves are full of meaning: leaving and loss, mortality and decaySweet chestnut leaves reddened against the sky before the weather came: a moment of fire and glass before they flew. The long, saw-edged, leaves of the sweet or Spanish chestnut, naturalised in Britain since the iron age, had all the autumn colours in them.Some were still green, but the cells where the leaf stalk attached to the branch were forming a dam, blocking the flow of sap and nutrients between leaf and tree. Each leaf was now on its own although still attached. Continue reading...
Mitsubishi flies Japan's first ever passenger jet
Mitsubishi Regional Jet is country’s first commercial airliner since propeller models of the 1970s and is aimed at growing market for smaller planesJapan’s first ever domestic passenger jet has successfully embarked on its maiden test flight, culminating a decade of development for a programme aimed at competing with Brazilian and Canadian rivals in the global market for smaller aircraft.
Open-sourced food production – the future of urban diets?
Scientists are developing open-source technologies that reward locally grown foods, cutting down on shipping and improving nutritionAs much as 40% of the urban diet could eventually be produced in specialized domestic grow-boxes, an agricultural scientist has explained, cutting down on unnecessary shipping and also providing fresher, more nutritional food.Caleb Harper, director of the Open Agriculture Lab at the Massachusetts Institute of Technology, is developing sustainable food systems, including boxes that create controlled environments to grow specific types of food. Certain combinations of temperature, humidity and soil can be optimised for certain crops, such as tomatoes, and that “recipe” can be shared through the lab’s open source work to recreate it anywhere in the world. Continue reading...
Leading HRT experts not consulted over NHS menopause guidance
Professors who advised government and led study identifying cancer risks of drugs not invited to give evidence to committee formulating new guidelinesThe UK’s leading experts on the cancer risks of hormone replacement therapy were not invited to give evidence to the committee preparing guidance for the NHS on treating the menopause, the Guardian has learned.Prof Klim McPherson from Oxford University, who has written many papers on HRT and sat on the government’s committee on the safety of medicines when it warned doctors to prescribe as little HRT for as short a time as possible for women suffering symptoms, was not aware the guidance was being formulated until recently. Continue reading...
Ancient river network discovered buried under Saharan sand
Radar images of the Mauritanian desert have revealed a river stretching for more than 500km and suggest plants and wildlife once thrived thereA vast river network that once carried water for hundreds of miles across Western Sahara has been discovered under the parched sands of Mauritania.Radar images taken from a Japanese Earth observation satellite spotted the ancient river system beneath the shallow, dusty surface, apparently winding its way from more than 500km inland towards the coast. Continue reading...
South African scientists piece together 'new dinosaur species'
After 20 years of collecting fossils, team believes sauropod-like specimen, nicknamed Highland Giant, was largest animal to roam Karoo regionA dinosaur reconstruction effort that began with half a giant thigh bone discovered in South Africa is puzzling palaeontologists, who think they might have stumbled across a new species.After 20 years of patient collection, researchers finally have enough fossils to put together a complete picture of a 14-tonne creature from the sauropoda group of dinosaurs, characterised by their small head, long neck, long tail and elephant-like gait. Continue reading...
Stephen Hawking's BBC Reith Lectures postponed through illness
Cosmologist had planned to describe the nature of black holes and respond to questions from the public in lectures, due to be broadcast from 24 NovemberThe BBC has postponed this year’s prestigious Reith Lectures because the speaker, Professor Stephen Hawking, is not well enough to deliver the talks.
On the Origin of Species voted most influential academic book in history
Charles Darwin’s formulation of the theory of evolution takes overwhelming share of public vote, ahead of Kant, Plato and EinsteinCharles Darwin’s On the Origin of Species has been voted the most influential academic book ever written, hailed as “the supreme demonstration of why academic books matter” and “a book which has changed the way we think about everything”.After a list of the top 20 academic books was pulled together by expert academic booksellers, librarians and publishers to mark the inaugural Academic Book Week, the public was asked to vote on what they believed to be the most influential. With titles in the running including A Vindication of the Rights of Woman by Mary Wollstonecraft, George Orwell’s novel Nineteen Eighty-Four, and Adam Smith’s The Wealth of Nations, Darwin’s explanation of his theory of evolution was the public’s overwhelming favourite, with 26% of the vote, said organisers. Continue reading...
European commission unveils its A-team of science advisers
Europe’s scientific advice mechanism is launched today, with a line-up of seven experts whose mission is to boost the role of evidence in policy.
Signs of dementia could include sense of humour getting darker, says study
Report by UCL polled relatives and found many said patients’ perception of what was funny changed dramatically and became ‘inappropriate and graphic’An increasingly twisted sense of humour could be one of the early signs of dementia, a new study has found, including laughing at inappropriate moments.The University College London research, published in the Journal of Alzeheimer’s disease, questioned the families and friends of 48 dementia patients, who had known them for more than 15 years before their disease took hold. Many of them noted that their relatives’ sense of humour had changed. Continue reading...
Pluto's mysterious mountains could be ice-spewing volcanoes, scientists say
‘It’s the least crazy thing we can think of,’ said American scientists trying to solve the puzzle of two peaks towering several miles above PlutoScientists have discovered what appear to be ice-spewing volcanoes on the surface of Pluto, raising questions about how the tiny, distant world has been so geologically active, according to research.
Strong legs help keep brain healthy in old age, study finds
Researchers find leg muscle force to be more closely linked to age-related changes in mental function than any other lifestyle factor testedAnyone who doubts the intellectual prowess of high-profile footballers might have to think again. Scientists have discovered a link between strong legs and a fit brain that resists the effects of ageing.Researchers found a “striking protective relationship” between high leg power and better preserved mental ability and brain structure over a period of 10 years. Continue reading...
Space oddity: how do astronauts prepare for life on Mars?
Photographer Gaia Squarci followed a Nasa simulation of mission conditions on the red planetMars on earth Continue reading...
Space oddity: how do astronauts prepare for life on Mars?
Photographer Gaia Squarci followed a Nasa simulation of mission conditions on the red planetMars on earth Continue reading...
Thermal scan of Giza pyramids may point to hidden tombs
‘Particularly impressive’ heat difference detected at ground level on eastern side of largest of three pyramids, says Egypt’s antiquities ministryAnomalies have been found in Egypt’s Khufu pyramid two weeks into a thermal scanning project aimed at discovering the famed pharaonic monument’s secrets including possible hidden burial chambers, officials have said.Related: Is Egypt closer to unlocking the mystery of Queen Nefertiti in King Tut's tomb? Continue reading...
Did you solve it? The impossible braid puzzle that will plait your brain
Here’s the solution to today’s topological twister - and an extra puzzle that theoretical physicists use to explain the world. Ready, Steady, Braid!Earlier today I asked you to turn this Continue reading...
Did you solve it? The impossible braid puzzle – video
Scissors away and pencils down! Did you solve it? Were you crafty enough to create the impossible braid from the puzzle Alex set earlier? There’s also an additional puzzle in this solution for those of you who are keen to keep braiding. For a more in-depth look at the maths involved, Alex’s solution blogpost can be read here. Continue reading...
Amyan Macfadyen obituary
My father-in-law, Amyan Macfadyen, who has died aged 94, was an expert in ecology, and in particular soil ecology.He was born in the Weald of Kent to Eric, an agriculturalist, businessman and Liberal MP, and Violet (nee Champneys), who ran the family farm at Meopham Bank, near Tonbridge, Kent, for 40 years. Amyan attended Dauntsey’s school in Wiltshire and then studied zoology at Balliol College, Oxford. His academic career was punctuated by second world war service in the Royal Electrical and Mechanical Engineers, where he learned many practical skills that re-emerged in the experimental equipment he used in his later scientific work. Continue reading...
What you're about to say is stupid – how to get your 'pretaliation' in first
An MP has accused Sebastian Coe of ‘pretaliation’ in advance of the damning report into doping in world athletics. We asked a language expert for a ‘presponse’ to the new word’s coming popularityThe thing about retaliation, as everyone knows, is that you should get it in first. And now there’s a word for that: the eminently logical “pretaliation”. The MP Paul Flynn has been having fun on Twitter by describing Seb Coe’s attempts to defend himself in advance against the report on doping in athletics as “(new word) PRETALIATION”.It’s not actually a new word. The earliest Google results seem to be for Pretaliation, the noughties heavy metal band, which figures. More recently, the term has arisen in US commercial law to describe onerous employee non-disclosure agreements that seek to circumvent rules against retaliation towards whistleblowers. One might be reminded of the deathly absurdities of military euphemism: the innovation last decade, for instance, of “pre-emptive strike” to denote an attack to defend against something that hasn’t happened yet and probably won’t. Continue reading...
...471472473474475476477478479480...