Feed science-the-guardian

Link http://feeds.theguardian.com/
Feed http://feeds.theguardian.com/theguardian/science/rss
Updated 2026-05-10 05:45
Diverse parental genes lead to taller, smarter children, finds extensive study
The survey of 350,000 people across four continents did not, however, confirm a belief of a link between genetic variety and high cholesterol or blood pressureThe children of parents who are more distantly related tend to be taller and smarter than their peers, according to one of the largest studies to date into genetic diversity.The study suggests that height and intelligence may be increasing as a growing number of people are marrying people from more distant parts of the world. Continue reading...
Scientist behind fake HIV breakthrough sentenced to prison after spiking results
Dong-Pyou Han, who spiked rabbit blood with human antibodies to suggest major progress toward a vaccine, must pay $7.2m to US governmentA former Iowa State University scientist who altered blood samples to make it appear he had achieved a breakthrough toward a potential vaccine against HIV was sentenced on Wednesday to more than four and a half years in prison for making false statements in research reports.Dong-Pyou Han, 58, also must pay $7.2m to a federal government agency that funded the research. He entered a plea agreement in February admitting guilt to two counts of making false statements. Continue reading...
Rosetta spacecraft spots enormous sinkholes on comet 67P
Discovery rules out many theories of comet formation by demonstrating that comets have substantial variations in their internal structuresCameras on the Rosetta spacecraft have spotted a series of enormous pits on comet 67P/Churyumov-Gerasimenko that plunge hundreds of metres down into the body’s cold interior.Scientists on the mission believe the pits formed in the same way as sinkholes on Earth, which appear out of the blue when the natural ceilings above underground caverns suddenly collapse under their own weight. Continue reading...
Swine flu jab and narcolepsy may be linked by autoimmune response
Vaccine may have caused narcolepsy by triggering the production of antibodies which destroy a sleep-regulating part of the brain, a new study suggestsScientists appear close to pinpointing why a swine flu vaccine given to six million people in Britain triggered the devastating sleep disorder, narcolepsy, in rare cases.The Pandemrix vaccine, made by GlaxoSmithKline (GSK), and which was recommended by the UK government to high-risk groups during the 2009-10 swine flu pandemic, was withdrawn after medical records showed a spike in the number of cases of narcolepsy presenting in doctors’ surgeries. Continue reading...
Reports of English's demise in US have been greatly exaggerated, experts say
News that US is now world’s second largest Spanish-speaking country belies the fact that America breeds English: ‘Spanish dominance, it’s not going to happen’The news was striking and, to some, alarming: the United States is now the world’s second largest Spanish-speaking country after Mexico. It has 41 million native Spanish speakers and 11.6 million who are bilingual – more than Colombia or Spain – and is on course to be the biggest Spanish-speaking nation on Earth, with Spanish the mother tongue of almost a third of its citizens.The study, published this week by Spain’s Instituto Cervantes, made global headlines and dismayed those in the US who fear linguistic pollution. “I thought we spoke ENGLISH here,” tweeted Scott Rogers, a Florida-based conservative blogger. Continue reading...
Glenn Beck planning boycott of Charles Darwin movie
Rightwing broadcaster uses his national US radio show to urge action against Disney film about historic HMS Beagle voyage that led to theory of evolutionFormer Fox News commentator Glenn Beck has suggested a boycott of the just-announced Disney film about the celebrated English naturalist Charles Darwin, during an episode of his nationally syndicated radio show.Disney’s plan to greenlight a film about Darwin’s voyage on board HMS Beagle in the 1830s – the expedition that revolutionised scientific understanding of evolution and natural selection – was made public a week ago. A rough reception was inevitable after the difficulties faced in the US by a previous Darwin film, Creation. Continue reading...
Facebook boss Mark Zuckerberg thinks telepathy tech is on its way
Social network chief believes we’ll be able to send thoughts to each other directly using technology in the futureBesides virtual reality, laser-toting satellites and artificial intelligence, what other futuristic technologies is Facebook chief executive Mark Zuckerberg interested in? Oh, you know, telepathy.“One day, I believe we’ll be able to send full rich thoughts to each other directly using technology. You’ll just be able to think of something and your friends will immediately be able to experience it too if you’d like,” wrote Zuckerberg during his latest online “townhall Q&A”.
Flatworm uses 'hypodermic penis' to inject sperm into own head
Hermaphrodite flatworm is able to self-fertilise thanks to an evolutionary development resulting in a needle-like penis, scientists have discoveredThe pursuit of reproductive success in the animal kingdom sometimes calls for extreme measures. But few creatures can match the hermaphrodite flatworm, which scientists have discovered can reproduce by injecting sperm into its own head.The tiny aquatic worm, Macrostomum hystix, is able to self-fertilise because it produces both eggs and sperm. Although it prefers to reproduce with other flatworms, when no mating opportunities are present it resorts to using its needle-like penis to inject sperm into its own head. Continue reading...
Leap second is added to atomic clock in Sydney – video
Bruce Warrington, a physical metrology general manager at the national measurement institute, speaks to the media as a leap second is added to the atomic clock in Sydney. A leap second is a one-second adjustment occasionally applied to coordinated universal time to keep it close to the mean solar time Continue reading...
Huge arching eruption on sun's surface captured by Nasa – video
Nasa's Solar Dynamics Observatory caught this vision of an arching eruption on the side of the sun over 18 June. The imagery is shown in the wavelength of extreme ultraviolet light which highlights material in the low parts of the sun's atmosphere and is typically colorised in red. This clip covers about four hours of the event Continue reading...
Leap second: all the latest developments and reaction – live!
You just had one of the longest hours of your life. At midnight GMT, clocks added an extra second to allow atomic clocks to stay in sync with the Earth’s rotation. Will the internet fall apart? Follow all the latest developments on our live blog
The Guardian view on the Tim Hunt affair: an explosive combination of science, sexism and social media | Editorial
Cyberstorms are just another form of bullying, and the best answer is a measured responseIt is three weeks since Sir Tim Hunt, a Nobel prize winner, shared his sexist opinion of female scientists – distractingly sexy, prone to weep when criticised and best segregated at work – with a room full of science writers. His remarks were relayed into the Twittersphere by several of those present, including British-based science writer Connie St Louis. At once, he came under global and sometimes viciously personal attack on social media. He delivered a non-apology on BBC radio. According to his wife, also a senior scientist at UCL, it was made clear to her that to protect UCL’s reputation, he had to resign.Within 24 hours of his after-dinner speech, he had gone. By the weekend, he was complaining to sympathisers that he had been hung out to dry, unleashing a wave of support that included famous colleagues such as Richard Dawkins and Brian Cox. Today Jonathan Dimbleby joined the protest. Next week, UCL’s council meets and the Hunt affair will once again be on the agenda. This bitter mix of resentments amplified by the polarising environment of social media should have met a calmer official response. But the professor still had to go. Continue reading...
The science of sustainability: what we've learned from artificial photosynthesis and synthetic meat
As our blog, The Science Behind Sustainability Solutions, wraps up, here’s a look back at some of the most innovative solutions to current world problemsMost sustainability efforts focus on fixing problems. Whether the solution involves installing air filtration systems on cruise ships, lobbying for safer meat production or restricting microbead usage, it usually comes after a problem has become a crisis.But what if we could head off the problem at the beginning of the process, instead of at the end? What if, instead of trying to reduce the emissions from fossil fuels, we could skip the fossil fuels entirely? What if, instead of dealing with the environmental and health problems created by meat production, we could take cattle out of the process? Continue reading...
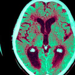
Hope for Alzheimer's treatment as researchers find licensed drugs halt brain degeneration
Studies on mice show two existing medicines could help restore protein production in brain and prevent memory loss, speeding up search for cure
Kirsty Hall obituary
Psychoanalyst who challenged traditional attitudes within her professionMy friend Kirsty Hall, who has died of cancer aged 67, was for years a well-known figure in London’s psychoanalytic community, practising as an analyst, teaching at Middlesex University, the Guild of Psychotherapists and the Site for Contemporary Psychoanalysis, and writing several books, as well as founding her own publishing company, Rebus Press.She was a powerful figure, with a fierce determination when she was set on a course of action, shaking up an often cautious and moribund profession. At the same time, she was a patient and committed teacher and supervisor, a generous colleague, and a dynamic organiser whose initiatives bore vigorous fruit. Continue reading...
Asteroid strikes are a threat, but space-based telescopes would reduce risk
Asteroids could potentially cause substantial damage to the planet. Better observational data and analysis could help us to avert disastrous strikesThe aim of Asteroid Day is to inform the public and raise awareness about the possibility that asteroids can collide with the Earth in the future. Today was chosen to highlight the risk because on the same day in 1908, a 30m object entered the atmosphere over a forested region in Siberia and exploded in mid­-air. The resulting shockwave and heat levelled the forest over an area larger than greater London.Related: Brian May: Asteroid Day can help protect the planet Continue reading...
How being poor can lead to a negative spiral of fear and self-loathing
A new report shows how the ‘scarcity mindset’ affects those living in poverty – they focus on the short term, internalise negative images and have feelings of failureCommenting on the actions and choices of those in poverty seems to have become a national sport. It’s rare to ever have a discussion about economic hardship in Britain without a bystander or internet commenter leaning forward and opining “But they’ve all got flatscreen TVs and smoke cigarettes.” The economic choices of the very poorest are seen as ripe for public dissection.But the psychological consequences of poverty are discussed far less. Oxford University and the Joseph Rowntree Foundation have released a study that goes some way to silencing those who would argue poverty is simply a moral failing. The newly released Household Below Average Income figures for 2013/14 show no progress whatsoever on poverty rates, and a slim increase in child poverty and working families earning less than they need: so poverty is here to stay. Continue reading...
Brian May: Asteroid Day can help protect the planet
Astrophysicist Dr Brian May has spoken to the Guardian about Asteroid Day, and saving the planet from the threat of incoming space rocksBefore Queen, Brian May was an astrophysicist. He has held a life-long fascination with space and is now devoting more time promoting the study of the cosmos to others. He is a key figure behind Asteroid Day, a series of almost 100 events around the world.Related: Search for deadly asteroids must be accelerated to protect Earth, say experts Continue reading...
'Leap second': how are you planning to spend it?
Just before midnight tonight the earth gains an extra second, as atomic clocks recalibrate with the turning of the earth. How will you take advantage of it?
Brian May warns of catastrophic threat to Earth from asteroids – video
Queen guitarist and astrophysicist Brian May warns of the threat to Earth from a meteor strike. He's among a group of experts calling for more effort to find and track potentially dangerous asteroids. 'We are under threat from a meteor strike. This is a catastrophe that could be averted,' he says to mark the first ever 'asteroid day' Continue reading...
'Leap second' to pause clocks at midnight as entire planet gains a second
Markets and tech companies braced for glitches as extra second introduced to allow atomic clocks to stay in sync with the Earth’s gradually slowing rotationTime and tide wait for no man, the saying goes. But at midnight GMT on Tuesday clocks will pause momentarily as the entire planet gains a bonus second.If you happen to be awake, and gazing at the dial on an atomic clock, it will read 23:59:60 before ticking forward to 00.00.00. Continue reading...
Technology 'stopping people switching off from work'
Feeling pressured to finish that project or answer that email at home? It’s damaging your productivity, says a health expert. You’d better try to unwindThe combination of smartphones and increasing pressures at work has blurred the boundaries between work and home and made it impossible for people to switch off at the end of the working day, according to an expert in health psychology.Mark Cropley, a professor at the University of Surrey and author of a new book The Off-Switch: Leave Work on Time, Relax Your Mind But Still Get More Done, said not reading your emails after office hours can improve your health and productivity at work. Continue reading...
Search for deadly asteroids must be accelerated to protect Earth, say experts
Campaigners including Brian May and Lord Rees are marking Asteroid Day by raising awareness of the the threat posed to the planet by speeding space rocksThe search for deadly asteroids that could slam into Earth must be speeded up 100-fold to help protect the future of life on Earth, according to an influential group of scientists, astronauts and rock stars.
The wine-o rhino: the rhinoceros with an alcohol problem
The sight of a live rhinoceros in 18th century London was extraordinary. Christopher Plumb tells the tragic, drunken story of Gilbert Pidcock’s rhinocerosName: Gilbert Pidcock’s rhinoceros
Life’s Greatest Secret by Matthew Cobb review – a thrilling account of the DNA revolution
The historic race to crack life’s genetic code is revealed as a mixture of experiment, intuition and brilliant guesswork in Cobb’s authoritative studyIn June 1966, the British Nobel laureate Francis Crick helped to organise a meeting of the world’s leading geneticists at Cold Spring Harbour near New York. It was to be a triumphant event. For the previous decade and a half, biologists had been struggling to unravel the genetic code, the biological cipher that determines how genes are passed on to future generations and which controls the construction of proteins in our bodies.Related: Observer review: Francis Crick by Matt Ridley Continue reading...
Queer Laboratory Life: Recognising the work of LGBT scientists
With LGBT civil rights in the news, Georgina Voss argues that science institutions need to extend their equality initiatives to queer scientists
Stephen Hawking to deliver BBC Reith lecture on black holes
Radio 4 announces new autumn lineup as Glenda Jackson returns for drama series and Miles Jupp takes over as presenter of News Quiz
Hairy monster: ancient 'super-armoured' worm discovered in China
Collinsium ciliosum, or the Hairy Collins’ Monster, lived around 500 million years ago and is thought to be one of the first animals to develop body armourAn ancient marine worm discovered in China has been identified as the earliest known animal to have used body armour to defend itself against predators.The creature is known as the Hairy Collins’ Monster or Collinsium ciliosum, after paleontololgist Desmond Collins, who first discovered a similar fossil in the 1980s. The Chinese specimen lived around 500 million years ago and developed “super-armour” - an array of 72 spikes along its back and sides - to protect itself from other life forms that existed at the time. Continue reading...
Babblers speak to the origin of language
Australian babblers are capable of phoneme structuring, the first time this has been demonstrated in any non-human animal“Holy shit, man!”Andy Russell had entered the lecture hall late and stood at the back, listening to the close of a talk by Marta Manser, an evolutionary biologist at the University of Zurich who works on animal communication.
Russian cosmonaut beats record for career time spent in space
Gennady Padalka moves past old record of 803 days, nine hours and 41 minutes, and aims to return to try for 1,000 daysA Russian cosmonaut on board the International Space Station has broken the record for total time in space by spending more than two years in orbit during his career.At 1.42am Moscow time on Monday, Gennady Padalka, the commander of the current space station mission, broke his countryman Sergei Krikalev’s record of 803 days, nine hours and 41 minutes. Continue reading...
How same-sex marriage could ruin civilisation | Dean Burnett
In the wake of the US supreme court ruling that legalised same-sex marriage throughout America, many commenters and objectors have claimed it will have disastrous consequences. But rather than just dismissing them as irrational bitterness, it’s important to consider the genuine scientific basis for such claimsSame-sex marriage is now legal throughout the USA. This is a good thing, it’s always nice when people get equal treatment under the law. Sadly, not everyone agrees. Such is the speed of modern news and communication that announcement of the Supreme Court decision was essentially immediately followed by furious objections and doom-laden predictions of the collapse of society for various reasons.It’s easy to dismiss these objections as angry incoherent bitterness from people who can’t or won’t accept that the rest of the human race doesn’t have to conform to their antiquated views, and many people do just that. But what if they’re not? What if there are genuine scientific reasons to fear same-sex marriage? After all, we in the UK know that same-sex marriage caused extreme flooding when it was legalised here, and now that it’s permitted in a country with the size and influence of the USA the consequences could be even more catastrophic. Here are just some possibilities we should brace ourselves for. Continue reading...
Xeno-canto: crowdsourcing the world's birdsongs | @GrrlScientist
Xeno-canto, which hosts the largest collection of bird sound recordings in the world, recently celebrated its tenth anniversaryMy favourite source for the birdsong recordings that I embed into my stories is Xeno-canto. This online community, which recently celebrated its tenth anniversary, hosts a large database filled with hundreds of thousands of crowdsourced bird sound recordings that are freely available to the public as uploads or embeds. Continue reading...
The dangers of Disney’s film about Charles Darwin | Philip Ball
Faced with a man so misunderstood, a ‘swashbuckling’ biopic about the naturalist could go horribly wrong. Here are a few blunders best avoidedThe news that Disney is planning an “adventure film” about Charles Darwin sounds at first blush rather ominous. The idea that Darwin had “a bit of that Indiana Jones-like swashbuckling spirit in him”, as noted in the report on the Hollywood-watching website Deadline, only heightens suspicions that the mild-mannered naturalist will be seen fighting off pirates and wrestling giant iguanas on the Galápagos. But it would be unfair to write off the project – to be directed by Stephen Gaghan, who wrote the Oscar-winning screenplay for Steven Soderbergh’s Traffic – before we know anything more about it. Disney has at least shown itself now capable of producing more than sweet, passive princesses.Related: Disney incubating new Charles Darwin movie Continue reading...
Green-fingered teachers: how to grow fruit and vegetables in school
The joys of growing fruit and vegetables in school go beyond filling bellies, there are lots of educational benefits tooThere’s nothing more satisfying than harvesting your own crops at school. As the first plums of the season ripen on trees and tiny cabbages appear between leaves, students can feast both their eyes and their bellies, on the fruits of their labour.But there are also a wide range of educational benefits to going green, from teaching about photosynthesis and the life of a plant to seasonal poetry and creative writing, the topic can be explored in a variety of classes. Continue reading...
Famous baby giant armadillo found dead
After two years of recording the surprising relationship between a baby giant armadillo and its mother, scientists have found the juvenile dead in the Brazilian Pantanal.
Starwatch: The July night sky
Britain’s night-long summer twilight begins to subside in July so that lucky starwatchers under a dark sky may be able to glimpse the Milky Way as it arches high across the E at our map times from the Scorpius-Sagittarius region in the S towards Cassiopeia and Auriga in the NNE. On the way, it flows through the familiar Summer Triangle formed by Deneb, Altair and (brightest of all) Vega. Continue reading...
Nasa SpaceX mission to International Space Station ends in explosion
Medical marijuana arrives next week in Minnesota – but smoking it is banned
Under new rules that set the state apart from others, patients will have to stick with pills and oils, and the drug will only be sold in eight locationsThere will be no baggies of pot awaiting patients next week, when Minnesota joins 21 other states in offering medical marijuana. No glass pipes, no plants to tend at home. Instead, the nation’s latest medical marijuana programme is a world of pill bottles and vials of marijuana-infused oil.For the qualifying patients seeking relief from pain, medical marijuana advocates and some lawmakers, Wednesday isn’t the finish line, but the first step. The state’s restrictive approach, unseen in the industry, is likely to mean high costs, long drives and reluctant doctors. Continue reading...
Nasa SpaceX rocket explodes moments after launch – video
A SpaceX supply mission rocket explodes shortly after lift off from Cape Canaveral in Florida on Sunday. The spacecraft, which was powered by a Falcon 9 rocket, was carrying food and hardware bound for the International Space Station, including a docking adaptor intended to facilitate future commercial space missions. The craft was unmanned and broke up over the Atlantic ocean Continue reading...
Violent videos show apes may have sense of right and wrong
Apes paid more attention to film clips of an infant chimp being killed by its own kind than other acts of violenceChimpanzees may have a sense of right and wrong that echoes human concepts of morality, a study has found.
Marketing has discovered neuroscience, but the results are more glitter than gold
The idea behind neuromarketing is that the brain can reveal hidden and profitable truths, but this is misleadingMarketing has discovered neuroscience and the shiny new product has plenty of style but very little substance. “Neuromarketing” is lighting up the eyes of advertising executives and lightening the wallets of public relations companies. It promises to target the unconscious desires of consumers, which are supposedly revealed by measuring the brain. The more successful agencies have some of the world’s biggest brands on their books and these mega-corporations are happy to trumpet their use of brain science in targeting their key markets. The holy grail of neuromarketing is to predict which ads will lead to most sales before they’ve been released but the reality is a mixture of bad science, bullshit and hope.First, it’s important to realise that the concept of neuroscience is used in different ways in marketing. Sometimes, it’s just an empty ploy aimed at consumers – the equivalent of putting a bikini-clad body next to your product for people who believe they’re above the bikini ploy. A recent Porsche advert apparently showed a neuroscience experiment suggesting that the brain reacts in a similar way to driving their car and flying a fighter jet, but it was all glitter and no gold. The images were computer-generated, the measurements impossible, and the scientist an actor. Continue reading...
Psychosis isn't catching but burnout is a risk for many caring professionals
Staff regularly dealing with traumatic situations are at risk of mental health issues, employers must ensure they are well supported“Is it catching?” asked a member of staff at music therapy charity Key Changes after several months of working with people diagnosed with psychosis.“Of course psychosis isn’t catching,” says Pete Leigh, founder of the charity, “but those of us working in such environments have to look after ourselves and each other to avoid being deeply affected.” Continue reading...
Great Barrier Reef government panel to include climate change experts
Australia’s environment minister Greg Hunt names scientists tasked to advise the government on Great Barrier Reef health priorities
Lab-grown blood, artificial organs – the science transforming our health
After the news that scientists have developed blood that can be grown in a laboratory, here are more discoveries that are redefining medicineThe news that scientists have developed blood that can be grown in the laboratory raised hope last week that a powerful weapon had been created to tackle disease. Ensuring that sufficient blood is donated to hospitals is a constant problem for medical services and any new source is to be welcomed, doctors acknowledged. In addition, the prospect that blood could be grown artificially from stem cells suggests a promising new approach could be taken in helping patients with thalassaemia and sickle cell anaemia and other blood disorders.As Liverpool University’s Professor John Hunt – one of the developers of lab-grown blood – put it: “This will make a difference to an essential piece of healthcare in our lifetime.” Continue reading...
Something to watch for in the new data from the Large Hadron Collider
A new result released by the ATLAS experiment at CERN shows an intriguing anomaly, which could be evidence for a new particle with a mass of about two thousand times the mass of a proton. How excited should be we be?
Baby sugar glider takes flying lessons | @GrrlScientist
Today’s “Caturday” video features an adorable young sugar glider (known as a “joey”) practicing her gliding skills in front of a fanI couldn’t resist sharing this video with you: today’s “Caturday” video features an adorable young sugar glider (known as a “joey”) practicing her gliding skills in front of a fan: Continue reading...
Planting coral could save Great Barrier Reef from climate change, say scientists
Humans could save the Great Barrier Reef from global warming by transplanting corals that survive heat stress, say scientistsHumans could save the Great Barrier Reef from global warming by transplanting corals that survive heat stress, say scientists.A new joint study by the Australian institute of marine science (AIMS) in Townsville and the University of Texas has found a genetic basis for tolerance of higher temperatures in coral. Continue reading...
AI: will the machines ever rise up?
From Ex Machina to Terminator Genisys, ‘synths’ and robots have invaded our popular culture. But how real is the reel depiction of artificial intelligence?The harried parents in one family in the Channel 4 drama Humans are divided about having a robot called Anita.
Hawaii protesters free on bail after blockade halts telescope construction
What threat do asteroids really pose to life on Earth? - podcast
To coincide wth Asteroid Day, Lord Rees, the astonomer royal, joins the team to discuss what can be done to prevent a disastrous collision with our planetAs Asteroid Day draws near, we ask what threat do asteroids really pose to life on Earth?On 30 June the Science Museum in London will host an Asteroid Day event, to increase awareness of the threat from asteroids, and what we should be doing to protect ourselves. Continue reading...
...499500501502503504505506507508...